CD61 Rabbit Polyclonal Antibody
CAT.NO. : ARA6819
RMB Please choose
RMB Please choose
*产品价格可能会有所调整,请以品牌方官网实时更新的价格为准,以确保准确性。
Background
CD61, also known as GPIIIa or ITGB3, is a 105 kDa glycoprotein expressed on activated T cells, granulocytes, megakaryocytes, platelets, and their precursors. It plays a crucial role in platelet aggregation and functions as a receptor for fibrinogen, fibronectin, von Willebrand factor, vitronectin, and thrombospondin. CD61 forms heterodimeric complexes by associating non-covalently with integrin alpha subunits: alphaV (CD51) to create the Vitronectin Receptor and alphaIIb (CD41) to form gpIIb/IIIa. These complexes are responsible for adhesion to extracellular matrix components, facilitating cell adhesion and cell-surface mediated signaling. CD61 is expressed on platelets and megakaryocytes in association with CD41, and on endothelial cells, monocytes, and osteoclasts in association with CD51. The protein product of CD61 is composed of an alpha chain and a beta chain, which can combine with multiple partners to form different integrins. Its involvement in cell adhesion and signaling underscores its importance in normal physiological processes. Dysfunction of CD61 is associated with diseases such as Glanzmann Thrombasthenia and Platelet type-16 Bleeding Disorder, highlighting its critical role in hemostasis and platelet function.
Application
|
Application |
Dilution Ratio |
|
WB |
1:500 - 1:1000 |
|
IHC |
1:100 - 1:200 |
|
IF/ICC |
1:100 - 1:500 |
|
IP |
1:10 - 1:100 |
Overview
|
Immunogen |
KLH-conjugated synthetic peptide encompassing a sequence within the C-term region of human CD61. The exact sequence is proprietary |
|
Purification Method |
The antibody was purified by immunogen affinity chromatography |
|
Clonality |
Polyclonal |
|
Form |
Liquid in 0.42% Potassium phosphate, 0.87% Sodium chloride, pH 7.3, 30% glycerol, and 0.01% sodium azide |
|
Gene Name |
ITGB3 |
|
Synonyms |
GP3A; Integrin beta-3; Platelet membrane glycoprotein IIIa; GPIIIa; CD61 |
|
Gene ID (Human) |
3690 |
|
Gene ID (Mouse) |
16416 |
|
Protein ID (Human) |
P05106 |
|
Protein ID (Mouse) |
O54890 |
Data

Western blot analysis of CD61 expression in HeLa (A), Raw264.7 (B), NIH3T3 (C), H9C2 (D) whole cell lysates. (Predicted band size: 87 kD; Observed band size: 130 kD)

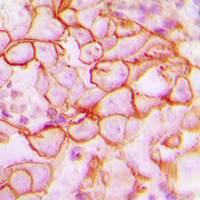
Immunohistochemical analysis of CD61 staining in human breast cancer formalin fixed paraffin embedded tissue section. The section was pre-treated using heat mediated antigen retrieval with sodium citrate buffer (pH 6.0). The section was then incubated with the antibody at room temperature and detected using an HRP conjugated compact polymer system. DAB was used as the chromogen. The section was then counterstained with haematoxylin and mounted with DPX.

Immunofluorescent analysis of CD61 staining in Raw264.7 cells. Formalin-fixed cells were permeabilized with 0.1% Triton X-100 in TBS for 5-10 minutes and blocked with 3% BSA-PBS for 30 minutes at room temperature. Cells were probed with the primary antibody in 3% BSA-PBS and incubated overnight at 4 °C in a humidified chamber. Cells were washed with PBST and incubated with a DyLight 594-conjugated secondary antibody (red) in PBS at room temperature in the dark. DAPI was used to stain the cell nuclei (blue).
Storage
Store at +4℃ after thawing. Aliquot store at -20℃. Avoid repeated freeze / thaw cycles.
Research Use Only
For Research Use Only. Not for use in diagnostic procedures.
New Products
