CD70 Rabbit Polyclonal Antibody
CAT.NO. : ARA6639
RMB Please choose
RMB Please choose
Size:
Trail, Bulk size or Custom requests Please contact us
*产品价格可能会有所调整,请以品牌方官网实时更新的价格为准,以确保准确性。
Background
The protein encoded by this gene is a cytokine that belongs to the tumor necrosis factor (TNF) ligand family. This cytokine is a ligand for TNFRSF27/CD27. It is a surface antigen on activated, but not on resting, T and B lymphocytes. It induces proliferation of costimulated T cells, enhances the generation of cytolytic T cells, and contributes to T cell activation. This cytokine is also reported to play a role in regulating B-cell activation, cytotoxic function of natural killer cells, and immunoglobulin synthesis.
Application
| Application | Dilution Ratio |
|---|---|
| WB | 1:500 - 1:1000 |
| IHC | 1:50 - 1:100 |
Overview
|
Product Description |
Rabbit polyclonal antibody to CD70 |
|
Immunogen |
KLH - conjugated synthetic peptide encompassing a sequence within the C - term region of human CD70. The exact sequence is proprietary. |
|
Purification Method |
The antibody was purified by immunogen affinity chromatography. |
|
Clonality |
Polyclonal |
|
Product Form |
Liquid in 0.42% Potassium phosphate, 0.87% Sodium chloride, pH 7.3, 30% glycerol, and 0.01% sodium azide. |
|
Gene Name |
CD70 |
|
Related Names |
CD27L; CD27LG; TNFSF7; CD70 antigen; CD27 ligand; CD27 - L; Tumor necrosis factor ligand superfamily member 7; CD70 |
|
Gene ID (Human) |
970 |
|
Gene ID (Mouse) |
21948 |
|
Protein ID (Human) |
P32970 |
|
Protein ID (Mouse) |
O55237 |
Data

Western blot analysis of CD70 expression in Myla2059 (A), HCT116 (B), CT26 (C) whole cell lysates. (Predicted band size: 21 kD; Observed band size: 75; 95 kD)

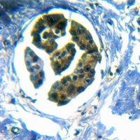
Immunohistochemical analysis of CD70 staining in human breast cancer formalin fixed paraffin embedded tissue section. The section was pre-treated using heat mediated antigen retrieval with sodium citrate buffer (pH 6.0). The section was then incubated with the antibody at room temperature and detected using an HRP conjugated compact polymer system. DAB was used as the chromogen. The section was then counterstained with haematoxylin and mounted with DPX.
Storage
Store at 4°C short term. For long term storage, store at -20°C, avoiding freeze/thaw cycles.
Research Use Only
For Research Use Only. Not for use in diagnostic procedures.
New Products
