CD79b Rabbit Monoclonal Antibody(ARA939)
CAT.NO. : ARA6778
RMB Please choose
RMB Please choose
Size:
Trail, Bulk size or Custom requests Please contact us
*产品价格可能会有所调整,请以品牌方官网实时更新的价格为准,以确保准确性。
Background
CD79b molecule, immunoglobulin-associated beta, also known as CD79B (Cluster of Differentiation 79B), is a human gene. It is associated with agammaglobulinemia-6. The B lymphocyte antigen receptor is a multimeric complex that includes the antigen-specific component, surface immunoglobulin (Ig). Surface Ig non-covalently associates with two other proteins, Ig-alpha and Ig-beta, which are necessary for expression and function of the B-cell antigen receptor. This gene encodes the Ig-beta protein of the B-cell antigen component. Alternatively spliced transcript variants encoding different isoforms have been described.
Application
|
Application |
Dilution Ratio |
|
IHC-P |
1:50-1:200 |
Overview
|
Antibody Type |
Recombinant Rabbit Monoclonal Antibody |
|
Immunogen |
Recombinant protein within human CD79b aa 1 - 100 / 229 |
|
Species Reactivity |
Human |
|
Validated Applications |
WB, IHC-P, FC |
|
Molecular Weight |
Predicted band size: 26 kDa |
|
Positive Control |
Daudi cell lysate, Raji cell lysate, human lymph nodes tissue, Daudi |
|
Conjugation |
unconjugated |
|
Clone Number |
JE58-34 |
|
Form |
Liquid |
|
Concentration |
1μg/ul |
|
Storage Buffer |
1*TBS (pH7.4), 0.05% BSA, 40% Glycerol. Preservative: 0.05% Sodium Azide |
|
Isotype |
IgG |
|
Purification Method |
Protein A affinity purified |
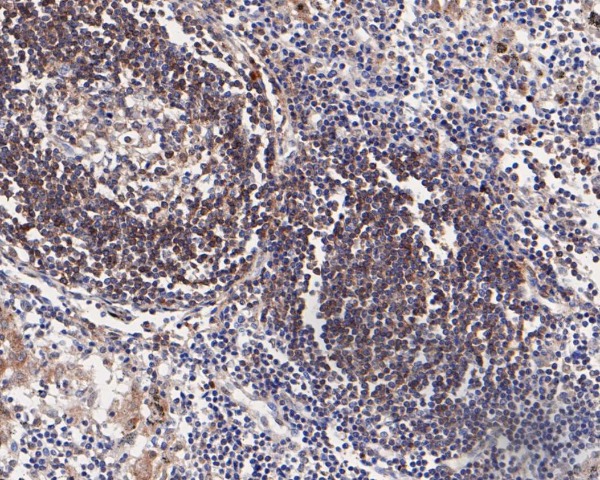
Data

Immunohistochemical staining of human lymph nodes tissue using CD79b Rabbit Monoclonal Antibody(ARA939)
Storage
Store at 4°C short term. For long term storage, store at -20°C, avoiding freeze/thaw cycles.
Research Use Only
For Research Use Only. Not for use in diagnostic procedures.
New Products
