Cytokeratin CAM5.2 Mouse Monoclonal Antibody(ARM613)
CAT.NO. : ARM6904
US$ Please choose
US$ Please choose
Size:
Trail, Bulk size or Custom requests Please contact us
*产品价格可能会有所调整,请以品牌方官网实时更新的价格为准,以确保准确性。
Background
Cytokeratin CAM5.2 is a low molecular weight keratin that reacts with Moll's peptides #7 and #8 (keratins 7 and 8). It's used in pathology as a monoclonal antibody for immunohistochemistry to identify normal and malignant cells of epithelial origin, particularly glandular (secretory) epithelia, and cancers like colorectal cancer, pancreatic cancer, liver cancer, and some breast cancers. However, it's not reactive with squamous epithelium and may have limited staining in some squamous cell carcinomas.
Application
|
Application |
Dilution Ratio |
|
IHC-P |
1:50 - 1:200 |
Overview
|
Antibody Type |
Mouse Monoclonals |
|
Species Reactivity |
Human |
|
Validated Applications |
IHC-P |
|
Positive Location |
Cytoplasm |
|
Positive Control |
Colon Cancer |
|
Isotype / Light Chain |
IgG2a / Kappa |
|
Cellular Localization |
Cytoplasm |
|
Immunogen |
Hybridization of mouse P3/NS-1/1-Ag4-1myeloma cells with spleen cells from BALB/c mice immunized with the human colorectal carcinoma cell line HT29 |
Data

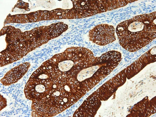
Immunohistochemical staining of human colon tissue sections using Cytokeratin CAM5.2 Mouse Monoclonal Antibody (ARM613).

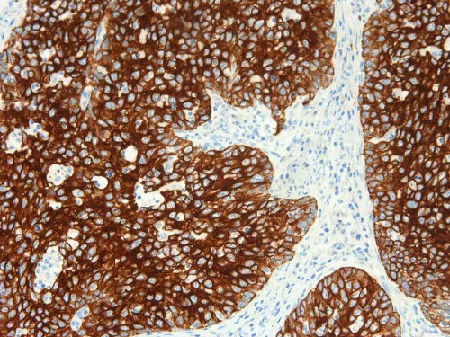
Immunohistochemical staining of human cervical tissue sections using Cytokeratin CAM5.2 Mouse Monoclonal Antibody (ARM613).
Storage
Store at 4°C short term. For long term storage, store at -20°C, avoiding freeze/thaw cycles.
Research Use Only
For Research Use Only. Not for use in diagnostic procedures.
New Products
