DNMT3A Rabbit Polyclonal Antibody
CAT.NO. : ARA6820
RMB Please choose
RMB Please choose
*产品价格可能会有所调整,请以品牌方官网实时更新的价格为准,以确保准确性。
Background
Methylation of DNA at cytosine residues plays an important role in regulation of gene expression, genomic imprinting and is essential for mammalian development. Hypermethylation of CpG islands in tumor suppressor genes or hypomethylation of bulk genomic DNA may be linked with development of cancer. To date, 3 families of mammalian DNA methyltransferase genes have been identified which include Dnmt1, Dnmt2 and Dnmt3. Dnmt1 is constitutively expressed in proliferating cells and inactivation of this gene causes global demethylation of genomic DNA and embryonic lethality. Dnmt2 is expressed at low levels in adult tissues and its inactivation does not affect DNA methylation or maintenance of methylation. The Dnmt3 family members, Dnmt3a and Dnmt3b, are strongly expressed in ES cells but their expression is down regulated in differentiating ES cells and is low in adult somatic tissue. Recently, it has been shown that naturally occurring mutations of Dnmt3b gene occurs in patients with a rare autosomal recessive disorder, termed ICF (immunodeficiency, centromeric instability, and facial anomalies) syndrome.
Application
|
Application |
Dilution Ratio |
|
WB |
1:500 - 1:1000 |
|
IHC |
1:50 - 1:100 |
Overview
|
Immunogen |
KLH-conjugated synthetic peptide encompassing a sequence within the N-term region of human DNMT3A. The exact sequence is proprietary |
|
Purification Method |
The antibody was purified by immunogen affinity chromatography |
|
Clonality |
Polyclonal |
|
Form |
Liquid in 0.42% Potassium phosphate, 0.87% Sodium chloride, pH 7.3, 30% glycerol, and 0.01% sodium azide |
|
Gene Name |
DNMT3A |
|
Synonyms |
DNA (cytosine-5)-methyltransferase 3A; Dnmt3a; DNA methyltransferase HsallIA; DNA MTase HsallIA; M.HsallIA |
|
Gene ID (Human) |
1788 |
|
Gene ID (Mouse) |
13435 |
|
Gene ID (Rat) |
444984 |
|
Protein ID (Human) |
Q9Y6K1 |
|
Protein ID (Mouse) |
O88508 |
|
Protein ID (Rat) |
Q1LZ53 |
Data

Western blot analysis of DNMT3A expression in MEF (A), H9C2 (B), HCT116 (C), Jurkat (D), PC3 (E), HEK293T (F) whole cell lysates. (Predicted band size: 16; 81; 101 kD; Observed band size: 130 kD)

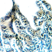
Immunohistochemical analysis of DNMT3A staining in human colorectal cancer formalin fixed paraffin embedded tissue section. The section was pre-treated using heat mediated antigen retrieval with sodium citrate buffer (pH 6.0). The section was then incubated with the antibody at room temperature and detected using an HRP conjugated compact polymer system. DAB was used as the chromogen. The section was then counterstained with haematoxylin and mounted with DPX.
Storage
Store at +4℃ after thawing. Aliquot store at -20℃. Avoid repeated freeze / thaw cycles.
Research Use Only
For Research Use Only. Not for use in diagnostic procedures.
New Products
