E2F1 Mouse Monoclonal Antibody(ARA832)
CAT.NO. : ARA6646
RMB Please choose
RMB Please choose
*产品价格可能会有所调整,请以品牌方官网实时更新的价格为准,以确保准确性。
Background
The protein encoded by this gene is a member of the E2F family of transcription factors. The E2F family plays a crucial role in the control of cell cycle and action of tumor suppressor proteins and is also a target of the transforming proteins of small DNA tumor viruses. The E2F proteins contain several evolutionally conserved domains found in most members of the family. These domains include a DNA binding domain, a dimerization domain which determines interaction with the differentiation regulated transcription factor proteins (DP), a transactivation domain enriched in acidic amino acids, and a tumor suppressor protein association domain which is embedded within the transactivation domain. This protein and another 2 members, E2F2 and E2F3, have an additional cyclin binding domain. This protein binds preferentially to retinoblastoma protein pRB in a cell-cycle dependent manner. It can mediate both cell proliferation and p53-dependent/independent apoptosis.
Application
|
Application |
Dilution Ratio |
|
WB |
1:500 - 1:1000 |
|
IP |
1:10 - 1:20 |
|
IF |
1:50 - 1:200 |
Overview
|
Species Reactivity |
Human, Mouse, Rat |
|
Clonality |
Monoclonal |
|
Host / Isotype |
Mouse / IgG2b |
|
Immunogen |
Purified recombinant human E2F-1 protein fragments expressed in E.coli |
|
Cross Reactivity |
Not tested |
|
Recombinant |
Not recombinant |
|
Purification |
Affinity Purified |
|
Form |
Liquid |
|
Conjugation |
Unconjugated |
|
Antigen Species |
Human |
|
UniProt Accession |
Q01094 |
|
Gene ID |
1869 |
|
Target Name |
E2F1 |
|
Alternative Protein Names |
Transcription factor E2F1; E2F-1; PBR3; Retinoblastoma-associated protein 1; RBAP-1; Retinoblastoma-binding protein 3; RBBP-3; pRB-binding protein E2F-1 |
|
Gene Name |
E2F1 |
|
Alternative Gene Name |
RBBP3 |
Data

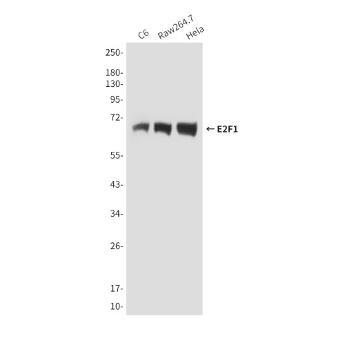
Western blot analysis of E2F1 in C6, Raw264.7 and Hela lysates using E2F1 antibody.

Immunoprecipitation analysis of E2F1 in Hela lysates using E2F1 antibody.

Immunofluorescence analysis of E2F1 in Hela using E2F1 antibody,and DAPI (blue)
Storage
Store at 4°C short term. For long term storage, store at -20°C, avoiding freeze/thaw cycles.
Research Use Only
For Research Use Only. Not for use in diagnostic procedures.
New Products
