H+/K+ ATPase β Mouse Monoclonal Antibody(ARA827)
CAT.NO. : ARA6627
US$ Please choose
US$ Please choose
*产品价格可能会有所调整,请以品牌方官网实时更新的价格为准,以确保准确性。
Background
The gastric H⁺/K⁺ ATPase exists as a heterodimer consisting of an α and a β subunit that work in tandem to transport protons across plasma membranes. H⁺/K⁺ ATPase β, also known as ATP4B or ATP6B, is a 291 amino acid single - pass type II membrane protein that functions as the β subunit of the H⁺/K⁺ ATPase heterodimer. Working with the α subunit, H⁺/K⁺ ATPase β effectively catalyzes the hydrolysis of ATP coupled with the exchange of H⁺ and K⁺ ions across the plasma membrane and plays an essential role in gastric acid secretion. The gene encoding H⁺/K⁺ ATPase β maps to human chromosome 13, which houses over 400 genes, such as BRCA2 and RB1, and comprises nearly 4% of the human genome. Trisomy 13, also known as Patau syndrome, is deadly and the few who survive past one year suffer from permanent neurologic defects, difficulty eating and vulnerability to serious respiratory infections.
Application
H⁺/K⁺ ATPase β is recommended for detection of H⁺/K⁺ ATPase β of mouse, rat and human origin by Western Blotting (starting dilution 1:100, dilution range 1:100 - 1:1000), immunoprecipitation [1 - 2 µg per 100 - 500 µg of total protein (1 ml of cell lysate)], immunofluorescence (starting dilution 1:50, dilution range 1:50 - 1:500), immunohistochemistry (including paraffin - embedded sections) (starting dilution 1:50, dilution range 1:50 - 1:500) and solid phase ELISA (starting dilution 1:30, dilution range 1:30 - 1:3000).
Data

H⁺/K⁺ ATPase β . Western blot analysis of H⁺/K⁺ ATPase β expression in non - transfected and human H⁺/K⁺ ATPase β transfected 293 whole cell lysates.


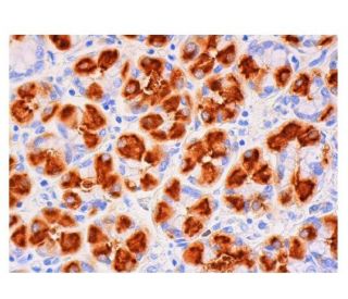
H⁺/K⁺ ATPase β . Immunofluorescence staining of methanol - fixed HeLa cells showing membrane localization (Up). Immunoperoxidase staining of formalin fixed, paraffin - embedded human lower stomach tissue showing cytoplasmic staining of parietal cells (Below).
Sourse
H⁺/K⁺ ATPase β is a mouse monoclonal antibody raised against a peptide mapping within an extracellular domain of H⁺/K⁺ ATPase β of human origin.
Storage
Store at 4°C, DO NOT FREEZE. Stable for one year from the date of shipment.
New Products
