KIF13B Mouse Monoclonal Antibody(ARA912)
CAT.NO. : ARA6747
RMB Please choose
RMB Please choose
Size:
Trail, Bulk size or Custom requests Please contact us
*产品价格可能会有所调整,请以品牌方官网实时更新的价格为准,以确保准确性。
Background
KIF13B (Kinesin Family Member 13B) is a Protein Coding gene. Diseases associated with KIF13B includeSpastic Paraplegia 37, Autosomal DominantandSpastic Paraplegia 11, Autosomal Recessive. Among its related pathways areGolgi-to-ER retrograde transportandFactors involved in megakaryocyte development and platelet production. Gene Ontology (GO) annotations related to this gene includeprotein kinase bindingandmicrotubule motor activity.
Application
|
Application |
Dilution Ratio |
|
IHC-P |
1:100 - 1:200 |
Overview
|
Species reactivity |
Human |
|
Clonality |
Monoclonal |
|
Host / isotype |
Mouse / IgG2b |
|
Immunogen |
Recombinant human KIF13B |
|
Purification |
Protein A purification |
|
Form |
Liquid |
|
Conjugation |
Unconjugated |
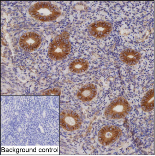
Data

Immunohistochemical staining of human endometrium endometrium tissue sections using KIF13B Mouse Monoclonal Antibody (ARA912).
Storage
Store at +4℃ after thawing. Aliquot store at -20℃. Avoid repeated freeze / thaw cycles.
Research Use Only
For Research Use Only. Not for use in diagnostic procedures.
New Products
