当汗水挥洒在跑道,当活力迸发于球场,全民健身的热潮正唤醒每个细胞的能量!RevMab打造“生命动能引擎”,支持日夜不休的“健康护卫队”——人体免疫系统!健身强体魄,科技护健康,RevMab以优质抗体共筑生命长城!
2017年10月18日,习近平同志在十九大报告中提出,人民健康是民族昌盛和国家富强的重要标志,要完善国民健康政策,为人民群众提供全方位全周期健康服务,全民健身不仅是运动风尚,更是健康中国的基石!
“健康中国2030,从现在做起”
“日行一万步,健康我做主”
正如健身需要耐力训练与协调性提升,人体细胞也需精准调控来抵御疾病。而肿瘤这位失控的破坏者,正凭借 CD30 信号的暴走、CD20靶标的隐匿、Ki67的增值失在体内控持续作乱 ——RevMab的“动能抗体”,能精准定位为靶向干预提供指向,为细胞秩序重定乾坤做坚实的基础!
-
生物学意义:
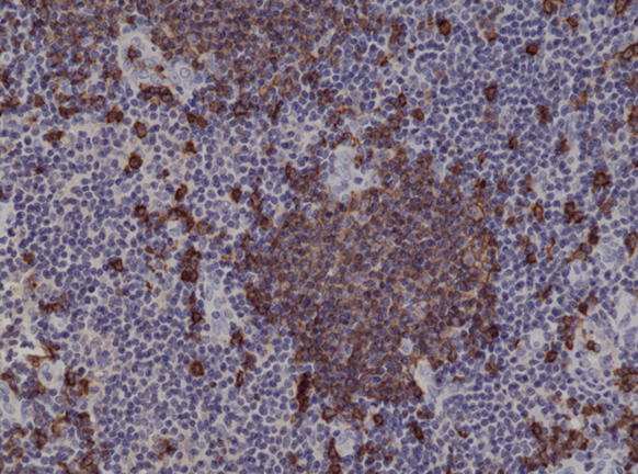
· CD30是霍奇金淋巴瘤/间变性大细胞淋巴瘤的黄金标志物,过度激活导致癌细胞增殖失控,如同运动过量引发的肌肉拉伤。
· 是靶向药维布妥昔单抗(Adcetris)的用药指征。
-
技术突破:
· 高亲和力设计:精准锁定肿瘤细胞(正常组织零背景),无非特异染色。
· 石蜡样本穿透力:对陈旧标本保持高结合率,突破福尔马林遮蔽难题。

图1:使用抗CD30兔单克隆抗体(克隆RM425)对福尔马林固定和石蜡包埋的霍奇金淋巴瘤组织切片进行免疫组织化学染色。
-
生物学意义:
· CD20是弥漫大B细胞淋巴瘤/慢性淋巴细胞白血病的核心靶标,表达缺失提示耐药风险。
· 鉴别惰性vs侵袭性淋巴瘤,指导利妥昔单抗联合化疗方案。
-
技术突破:
· 突破福尔马林遮蔽难题,对陈旧存档组织的CD20阳性检出率保持>90%,尤其适用于淋巴瘤回顾性研究。
· 支持与Ki-67、CD3、CD10等标志物联用,无交叉反应,精准绘制B细胞分布“活力图谱”。

图2使用抗CD20兔单克隆抗体克隆RM272对福尔马林固定和石蜡包埋的扁桃体组织切片进行免疫组织化学染色。
-
生物学意义:
· CD20是宫颈癌/乳腺癌增殖活性核心指标,高表达预示侵袭性强(灵敏度92%),指导癌前病变分级与治疗监测。
-
技术突破:
· 全周期追踪技术:精准标记G1/S/G2/M期细胞,杜绝静止期(G0)假阴性,避免“漏网之鱼”。
· 多重染色兼容性:联用p16实现宫颈癌筛查灵敏度的提高。
图3使用抗 Ki67 兔单克隆抗体(Clone RM521)对福尔马林固定和石蜡包埋的卵巢浆液性癌组织切片进行免疫组织化学染色,在室温下进行 1 小时。

如同健身需动态调整训练计划,抗体需适应肿瘤微环境变异!RevMab带来革新的抗体技术,突破传统方式,实时匹配抗原空间结构变化,灵敏度提升,批次稳定性好,为精准诊断提供稳定的原料。
Post time: 2025-08-08 17:44:04
- Previous: 幽门螺杆菌检测,RevMAb多款兔单克隆抗体,解决检测核心痛点。
- Next: 中性粒细胞活性,arigoPLEX® 检测快又准
