SLC34A2 Rabbit Monoclonal Antibody(ARB589)
CAT.NO. : ARB6881
RMB Please choose
RMB Please choose
Size:
Trail, Bulk size or Custom requests Please contact us
*产品价格可能会有所调整,请以品牌方官网实时更新的价格为准,以确保准确性。
Background
The sodium-dependent phosphate transport protein 2B (NaPi-2b, SLC34A2) is a sodium dependent inorganic phosphate transporter that regulates phosphate homeostasis in various organs, including the lung, liver and endometrium. SLC34A2 is predominantly expressed in lung and endometrium. In tumor tissue, it is mainly expressed in ovarian cancer and endometrial cancer. Research has shown that the NaPi2b protein encoded by SLC34A2 is highly expressed in ovarian cancer tissues, especially in serous ovarian cancer, which makes it an important biomarker for assisting in the diagnosis of ovarian cancer. In addition, the expression level of SLC34A2 is closely related to the prognosis of ovarian cancer patients and can be used as an indicator to evaluate patient survival and disease progression.
Application
|
Application |
Dilution Ratio |
|
IHC-P |
1:100-1:200 |
Overview
|
Predicted Molecular Wt |
76kDa |
|
Species Cross-reactivity |
Human |
|
Applications |
IHC-P |
|
Purity |
ProA affinity purified IgG |
|
Form |
Liquid |
|
Swissprot ID |
O95436 |
|
Subcellular location |
Membrane |
|
Recommended Method |
Heat induced epitope retrieval with Tris-EDTA buffer (pH 9.0), primary antibody incubate at RT (18℃-25℃) for 30 minutes. |
|
Immunogen |
Synthetic peptide. |
|
Storage Buffer |
PBS 59%, Sodium azide 0.01%, Glycerol 40%, BSA 0.05% |
Data

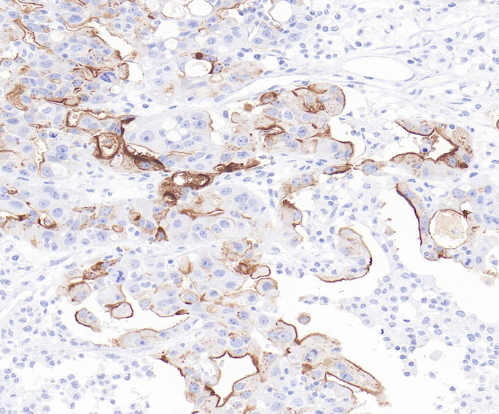
Immunohistochemical staining of human ovarian cancer tissue using SLC34A2 Rabbit Monoclonal Antibody(ARB589)
Storage
Store at 4°C short term. For long term storage, store at -20°C, avoiding freeze/thaw cycles.
Research Use Only
For Research Use Only. Not for use in diagnostic procedures.
New Products
