TAPA1/CD81 Rabbit Monoclonal Antibody(ARA961)
CAT.NO. : ARA6813
RMB Please choose
RMB Please choose
Size:
Trail, Bulk size or Custom requests Please contact us
*产品价格可能会有所调整,请以品牌方官网实时更新的价格为准,以确保准确性。
Background
CD81, also called TAPA-1, is a type III transmembrane protein that is broadly expressed on cells of hematopoietic, neuroectodermal and mesenchymal origin. CD81 is believed to be involved in both cell growth and signal transduction. It can be present as a multimolecular complex in association with CD37 and/or CD53, or on the surface of B cells in association with CD19, CD21 and/or MHC class II antigens.
Application
|
Application |
Dilution Ratio |
|
IHC-P |
1:500 - 1:2000 |
Overview
|
Antibody Type |
Recombinant Rabbit monoclonal Antibody |
|
Immunogen |
Synthetic peptide within Human TAPA1 / CD81 aa 161-210 / 236. |
|
Species Reactivity |
Human, Mouse, Rat |
|
Validated Applications |
WB, IF-Cell, IHC-P, FC |
|
Molecular Weight |
Predicted band size: 26 kDa |
|
Positive Control |
PC-12 cell lysate, JAR cell lysate, 293, A549, SH-SY5Y, PC-12, human liver tissue, mouse testis tissue, mouse lung tissue, Jurkat. |
|
Conjugation |
unconjugated |
|
RRID |
AB_3070067 |
|
Form |
Liquid |
|
Storage Buffer |
1*TBS (pH7.4), 0.05% BSA, 40% Glycerol. Preservative: 0.05% Sodium Azide |
|
Isotype |
IgG |
|
Purification Method |
Protein A affinity purified |
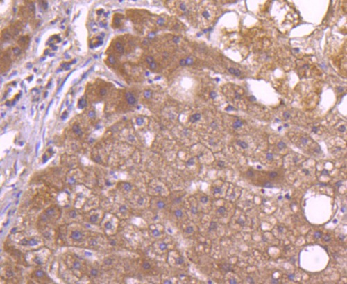
Data

Immunohistochemical staining of human liver tissue was performed using TAPA1/CD81 Rabbit Monoclonal Antibody(ARA961).
Storage
Store at +4℃ after thawing. Aliquot store at -20℃. Avoid repeated freeze / thaw cycles.
Research Use Only
For Research Use Only. Not for use in diagnostic procedures.
New Products
