TRIM29 Rabbit Monoclonal Antibody(ARA963)
CAT.NO. : ARA6816
RMB Please choose
RMB Please choose
Size:
Trail, Bulk size or Custom requests Please contact us
*产品价格可能会有所调整,请以品牌方官网实时更新的价格为准,以确保准确性。
Background
Tripartite motif-containing protein 29 (TRIM29, ATDC) was isolated as a candidate gene by its ability to complement the radiosensitivity defect of an ataxia-telangiectasia (AT) cell line. This putative transcription regulator belongs to the TRIM (tripartite motif) protein family that is characterized by highly conserved amino-terminal RING finger, B-box, and coiled-coil domains. The TRIM29 protein binds and sequesters cytosolic p53, repressing expression of p53 target genes including p21 and Noxa by preventing p53 from entering the nucleus. Expression of TRIM29 inhibits p53 function and results in increased cell proliferation. TRIM29 enhances tumor growth and metastasis in vivo and high TRIM29 levels are seen in most invasive pancreatic cancers. The oncogenic effect of TRIM29 appears to require β-catenin as expression of both proteins is elevated in pancreatic cancer cell lines and tissues.
Application
|
Application |
Dilution Ratio |
|
IHC-P |
1:500 - 1:2000 |
Overview
|
Antibody Type |
Recombinant Rabbit monoclonal Antibody |
|
Immunogen |
Synthetic peptide within human TRIM29 aa 1-588 / 588. |
|
Species Reactivity |
Human, Mouse, Rat |
|
Validated Applications |
WB, IHC-P, IF-Cell, FC |
|
Molecular Weight |
Predicted band size: 66 kDa |
|
Positive Control |
A431 cell lysate, SiHa cell lysate, SW1900 cell lysate, HT-29 cell lysate, A431, human prostate tissue, human skin tissue, mouse skin tissue, rat skin tissue. |
|
Conjugation |
unconjugated |
|
Form |
Liquid |
|
Storage Buffer |
PBS (pH7.4), 0.05% BSA, 40% Glycerol. Preservative: 0.05% Sodium Azide |
|
Isotype |
IgG |
|
Purification Method |
Protein A affinity purified |
Data

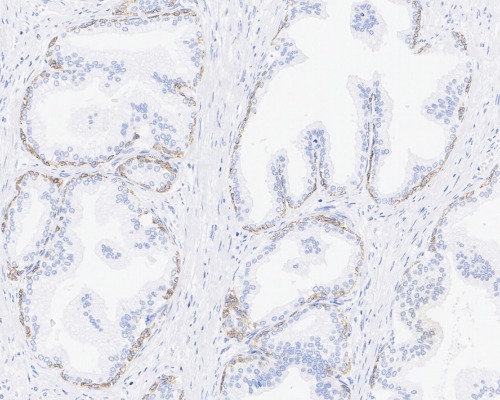
Immunohistochemical staining of human prostate tissue was performed using TRIM29 Rabbit Monoclonal Antibody(ARA963).

Immunohistochemical staining of human skin tissue was performed using TRIM29 Rabbit Monoclonal Antibody(ARA963).
Storage
Store at +4℃ after thawing. Aliquot store at -20℃. Avoid repeated freeze / thaw cycles.
Research Use Only
For Research Use Only. Not for use in diagnostic procedures.
New Products
