cGAS Mouse Monoclonal Antibody(ARA719)
CAT.NO. : ARA6494
RMB Please choose
RMB Please choose
Background
cGAS (Cyclic GMP-AMP synthase), also known as C6orf150 or h-cGAS, is a 522 aa protein. cGAS mediates innate immune responses against invading pathogens, or against self-dsDNA, which causes autoimmune disorders. The cGAS sensor not only recognizes cytosolic dsDNA but also synthesizes the second messenger cGAMP from ATP and GTP, which then binds to and activates STING. STING undergoes conformational changes and translocation from the endoplasmic reticulum to the Golgi apparatus to encounter TBK1 and IRF3, eventually triggering the production of type I IFNs.
Application
|
Application |
Dilution Ratio |
|
WB |
1:2000 - 1:5000 |
|
IHC |
1:400 - 1:1500 |
Overview
|
Validated Applications |
WB, IF/ICC, ELISA |
|
Species Reactivity |
Human, Mouse |
|
Immunogen |
Recombinant human C6orf150 protein |
|
Host / Isotype |
Mouse / IgG1 |
|
Antibody Class |
Monoclonal |
|
Product Type |
Antibody |
|
Full Name |
chromosome 6 open reading frame 150 |
|
Alternative Names |
2'3'-cGAMP synthase, 2G2C5, C6orf150, cGAMP synthase, EC:2.7.7.86 |
|
Calculated Molecular Weight |
496 aa, 54 kDa |
|
Observed Molecular Weight |
60 kDa |
|
GenBank Protein ID |
BC113608 |
|
Gene Name |
cGAS |
|
Gene ID (NCBI) |
115004 |
|
Conjugation |
Unconjugated |
|
Form |
Liquid |
|
Purification Method |
Protein G purification |
|
UNIPROT ID |
Q8N884 |
|
Storage Buffer |
PBS with 0.02% sodium azide and 50% glycerol, pH 7.3. |
Data

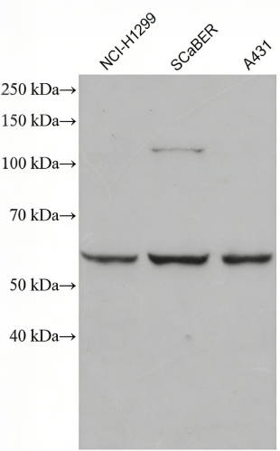
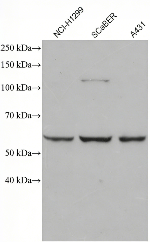
Various lysates were subjected to SDS PAGE followed by western blot with cGAS Mouse Monoclonal Antibody(ARA719)at dilution of 1:5000 incubated at room temperature for 1.5 hours.

Immunofluorescent analysis of (-20°C Ethanol) fixed HeLa cells using cGAS Mouse Monoclonal Antibody(ARA719) at dilution of 1:800 and Flour 488-Conjugated Goat Anti-Mouse IgG(H+L).
Storage
Store at +4℃ after thawing. Aliquot store at -20℃. Avoid repeated freeze / thaw cycles.
Research Use Only
For Research Use Only. Not for use in diagnostic procedures.
New Products
