Aggrecan Rabbit Polyclonal Antibody
|
Application |
Dilution Ratio |
|
WB |
1:500 - 1:1000 |
|
IHC |
1:50 - 1:100 |
|
IF/ICC |
1:50 - 1:200 |
|
Immunogen |
KLH - conjugated synthetic peptide encompassing a sequence within the N - term region of human Aggrecan. The exact sequence is proprietary. |
|
Purification Method |
The antibody was purified by immunogen affinity chromatography. |
|
Clone Type |
Polyclonal |
|
Product Form |
Liquid in 0.42% Potassium phosphate, 0.87% Sodium chloride, pH 7.3, 30% glycerol, and 0.01% sodium azide. |
|
Gene Name |
ACAN |
|
Related Names |
AGC1; CSPG1; MSK16; Aggrecan core protein; Cartilage - specific proteoglycan core protein; CSPCP; Chondroitin sulfate proteoglycan core protein 1; Chondroitin sulfate proteoglycan 1 |
|
Gene ID (Human) |
176 |
|
Gene ID (Mouse) |
11595 |
|
Gene ID (Rat) |
58968 |
|
Protein ID (Human) |
P16112 |
|
Protein ID (Mouse) |
Q61282 |
|
Protein ID (Rat) |
P07897 |

Western blot analysis of Aggrecan expression in CT26 (A), C6 (B), Hela (C) whole cell lysates. (Predicted band size: 261 kD; Observed band size: 261 kD)

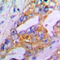
Immunohistochemical analysis of Aggrecan staining in human lung cancer formalin fixed paraffin embedded tissue section. The section was pre-treated using heat mediated antigen retrieval with sodium citrate buffer (pH 6.0). The section was then incubated with the antibody at room temperature and detected using an HRP conjugated compact polymer system. DAB was used as the chromogen. The section was then counterstained with haematoxylin and mounted with DPX.

Immunofluorescent analysis of Aggrecan staining in C6 cells. Formalin-fixed cells were permeabilized with 0.1% Triton X-100 in TBS for 5-10 minutes and blocked with 3% BSA-PBS for 30 minutes at room temperature. Cells were probed with the primary antibody in 3% BSA-PBS and incubated overnight at 4 °C in a hidified chamber. Cells were washed with PBST and incubated with a AF488-conjugated secondary antibody (green) in PBS at room temperature in the dark. Phalloidin - AF594 was used to stain Actin filaments (red). DAPI was used to stain the cell nuclei (blue).
New Products
