CD47 Rabbit Polyclonal Antibody
CAT.NO. : ARA6421
RMB Please choose
RMB Please choose
*产品价格可能会有所调整,请以品牌方官网实时更新的价格为准,以确保准确性。
Background
CD47 (Cluster of Differentiation 47) also known as integrin associated protein (IAP) is a transmembrane protein that in humans is encoded by the CD47 gene. CD47 belongs to the immunoglobulin superfamily and partners with membrane integrins and also binds the ligands thrombospondin-1 (TSP-1) and signal-regulatory protein alpha (SIRPα). Broad specificity aminopeptidase which plays a role in the final digestion of peptides generated from hydrolysis of proteins by gastric and pancreatic proteases. Also involved in the processing of various peptides including peptide hormones, such as angiotensin III and IV, neuropeptides, and chemokines. May also be involved the cleavage of peptides bound to major histocompatibility complex class II molecules of antigen presenting cells. May have a role in angiogenesis and promote cholesterol crystallization. CD47 is involved in a range of cellular processes, including apoptosis, proliferation, adhesion, and migration. Furthermore, it plays a key role in immune and angiogenic responses. CD47 is ubiquitously expressed in human cells and has been found to be overexpressed in many different tumor cells. Expression in equine cutaneous tumors has been reported as well.
Application
|
Application |
Dilution Ratio |
|
WB |
1:500 - 1:2000 |
|
IHC |
1:50 - 1:200 |
|
IF/ICC |
1:50 - 1:200 |
Overview
|
Product Description |
Rabbit polyclonal antibody to CD47 |
|
Immunogen |
Recombinant full length protein of human CD47 |
|
Purification Method |
The antibody was purified by immunogen affinity chromatography. |
|
Clonality |
Polyclonal |
|
Form |
Liquid in 0.42% Potassium phosphate, 0.87% Sodium chloride, pH 7.3, 30% glycerol, and 0.01% sodium azide. |
|
Gene Symbol |
CD47 |
|
Alternative Names |
MER6; Leukocyte surface antigen CD47; Antigenic surface determinant protein OA3; Integrin-associated protein; IAP; Protein MER6; CD47 |
|
Gene ID (Human) |
961 |
|
Gene ID (Mouse) |
16423 |
|
Gene ID (Rat) |
29364 |
|
Protein ID (Human) |
Q08722 |
|
Protein ID (Mouse) |
Q61735 |
|
Protein ID (Rat) |
P97829 |
Data

Western blot analysis of CD47 expression in Hela (A) whole cell lysates. (Predicted band size: 31; 33; 35 kD; Observed band size: 47 kD)

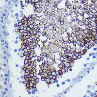
Immunohistochemical analysis of CD47 staining in rat testis formalin fixed paraffin embedded tissue section. The section was pre-treated using heat mediated antigen retrieval with sodium citrate buffer (pH 6.0). The section was then incubated with the antibody at room temperature and detected using an HRP conjugated compact polymer system. DAB was used as the chromogen. The section was then counterstained with haematoxylin and mounted with DPX.

Immunofluorescent analysis of CD47 staining in Hela cells. Formalin-fixed cells were permeabilized with 0.1% Triton X-100 in TBS for 5-10 minutes and blocked with 3% BSA-PBS for 30 minutes at room temperature. Cells were probed with the primary antibody in 3% BSA-PBS and incubated overnight at 4 °C in a humidified chamber. Cells were washed with PBST and incubated with a DyLight 594-conjugated secondary antibody (red) in PBS at room temperature in the dark.
Storage
Store at 4°C short term. For long term storage, store at -20°C, avoiding freeze/thaw cycles.
Research Use Only
For Research Use Only. Not for use in diagnostic procedures.
New Products
