Alpha Tubulin Rabbit Monoclonal Antibody(ARA690)
CAT.NO. : ARA6425
RMB Please choose
RMB Please choose
Size:
Trail, Bulk size or Custom requests Please contact us
Background
There are five tubulins in human cells: alpha, beta, gamma, delta, and epsilon. Tubulins are conserved across species. They form heterodimers, which multimerize to form a microtubule filament. An alpha and beta tubulin heterodimer is the basic structural unit of microtubules. The heterodimer does not come apart once formed. The alpha and beta tubulins, which are each about 55 kDa MW, are homologous but not identical. Alpha tubulin is useful for scientists across fields as an internal control due to its high, ubiquitous expression pattern.
Application
|
Application |
Dilution Ratio |
|
WB |
1:2000 - 1:50000 |
|
IHC |
1:800 - 1:5000 |
|
ICC/IF |
1:200 - 1:1000 |
Overview
|
Reactivity |
Human, Mouse, Rat |
|
Host / Isotype |
Rabbit / IgG |
|
Class |
Recombinant |
|
Type |
Antibody |
|
Immunogen |
Recombinant human Tubulin-Alpha protein |
|
Full Name |
tubulin, alpha 1b |
|
Calculated Molecular Weight |
50 kDa |
|
Observed Molecular Weight |
50-55 kDa |
|
GenBank Accession Number |
BC009314 |
|
Gene Symbol |
Alpha Tubulin |
|
Gene ID (NCBI) |
10376 |
|
Conjugate |
Unconjugated |
|
Form |
Liquid |
|
Purification Method |
Protein A purification |
|
UNIPROT ID |
P68363 |
|
Storage Buffer |
PBS with 0.02% sodium azide and 50% glycerol, pH 7.3. |
Data

WB result of Alpha Tubulin Rabbit Monoclonal Antibody(ARA690) with sh-Control and sh-Alpha Tubulin transfected HEK-293 cells.

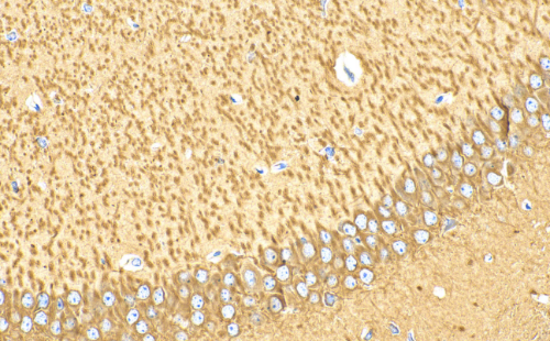
Immunohistochemical analysis of paraffin-embedded mouse brain tissue slide using Alpha Tubulin Rabbit Monoclonal Antibody(ARA690) at dilution of 1:1000 (under 40x lens). Heat mediated antigen retrieval with Tris-EDTA buffer (pH 9.0).

Immunofluorescent analysis of (4% PFA) fixed HeLa cells using Alpha Tubulin Rabbit Monoclonal Antibody(ARA690) at dilution of 1:400 and Fluor 488-Conjugated Goat Anti-Rabbit IgG(H+L), Fluour 594-Phalloidin (red).
Storage
Store at +4℃ after thawing. Aliquot store at -20℃. Avoid repeated freeze / thaw cycles.
Research Use Only
For Research Use Only. Not for use in diagnostic procedures.
New Products
