anti-CD10 antibody [SP179]
| 产品描述 | Rabbit Monoclonal antibody [SP179] recognizes CD10 |
|---|---|
| 反应物种 | Hu, Ms, Rat |
| 应用 | FACS, IHC-P, WB |
| 宿主 | Rabbit |
| 克隆 | Monoclonal |
| 克隆号 | SP179 |
| 同位型 | IgG |
| 靶点名称 | CD10 |
| 抗原物种 | Human |
| 抗原 | Synthetic peptide derived from the N-terminus of human CD10 protein. |
| 偶联标记 | Un-conjugated |
| 別名 | Enkephalinase; Neutral endopeptidase; Neutral endopeptidase 24.11; Common acute lymphocytic leukemia antigen; Neprilysin; CD antigen CD10; CALLA; EC 3.4.24.11; CD10; Skin fibroblast elastase; SFE; Atriopeptidase; NEP |
| 应用建议 |
| ||||||||
|---|---|---|---|---|---|---|---|---|---|
| 应用说明 | * The dilutions indicate recommended starting dilutions and the optimal dilutions or concentrations should be determined by the scientist. | ||||||||
| 阳性对照 | Kidney, Tonsil, LNCaP Cell Lysate |
| 形式 | Liquid |
|---|---|
| 纯化 | Purified by protein A/G |
| 缓冲液 | PBS (pH 7.6), 1% BSA and |
| 抗菌剂 | |
| 稳定剂 | 1% BSA |
| 存放说明 | For continuous use, store undiluted antibody at 2-8°C for up to a week. For long-term storage, aliquot and store at -20°C or below. Storage in frost free freezers is not recommended. Avoid repeated freeze/thaw cycles. Suggest spin the vial prior to opening. The antibody solution should be gently mixed before use. |
| 注意事项 | For laboratory research only, not for drug, diagnostic or other use. |
| 数据库连接 | |
|---|---|
| 背景介绍 | CD10 is a type II transmembrane glycoprotein and a common acute lymphocytic leukemia antigen that is an important cell surface marker in the diagnosis of human acute lymphocytic leukemia (ALL). The encoded protein is present on leukemic cells of pre-B phenotype, which represent 85% of cases of ALL. This protein is not restricted to leukemic cells, however, and is found on a variety of normal tissues. The protein is a neutral endopeptidase that cleaves peptides at the amino side of hydrophobic residues and inactivates several peptide hormones including glucagon, enkephalins, substance P, neurotensin, oxytocin, and bradykinin. [provided by RefSeq, Aug 2017] |
| 生物功能 | CD10: Thermolysin-like specificity, but is almost confined on acting on polypeptides of up to 30 amino acids (PubMed:15283675, PubMed:8168535). Biologically important in the destruction of opioid peptides such as Met- and Leu-enkephalins by cleavage of a Gly-Phe bond (PubMed:17101991). Able to cleave angiotensin-1, angiotensin-2 and angiotensin 1-9 (PubMed:15283675). Involved in the degradation of atrial natriuretic factor (ANF) (PubMed:2531377, PubMed:2972276). Displays UV-inducible elastase activity toward skin preelastic and elastic fibers (PubMed:20876573). [UniProt] |
| 细胞定位 | Membrane |
| 产品亮点 | Related products: CD10 antibodies; CD10 ELISA Kits; CD10 Duos / Panels; Anti-Rabbit IgG secondary antibodies; Related news: Lymphoma |
| 研究领域 | Cancer antibody; Developmental Biology antibody; Immune System antibody |
| 预测分子量 | 86 kDa |
| 翻译后修饰 | Myristoylation is a determinant of membrane targeting. Glycosylation at Asn-628 is necessary both for surface expression and neutral endopeptidase activity. |
ARG52667 anti-CD10 antibody [SP179] WB image
Western blot: 30 µg of Mouse kidney lysate stained with ARG52667 anti-CD10 antibody [SP179] at 1:400 dilution.
ARG52667 anti-CD10 antibody [SP179] IHC-P image
Immunohistochemistry: Human Kidney stained with CD10 antibody [SP179] (ARG52667)
ARG52667 anti-CD10 antibody [SP179] IHC-P image
Immunohistochemistry: Human Breast stained with CD10 antibody [SP179] (ARG52667)
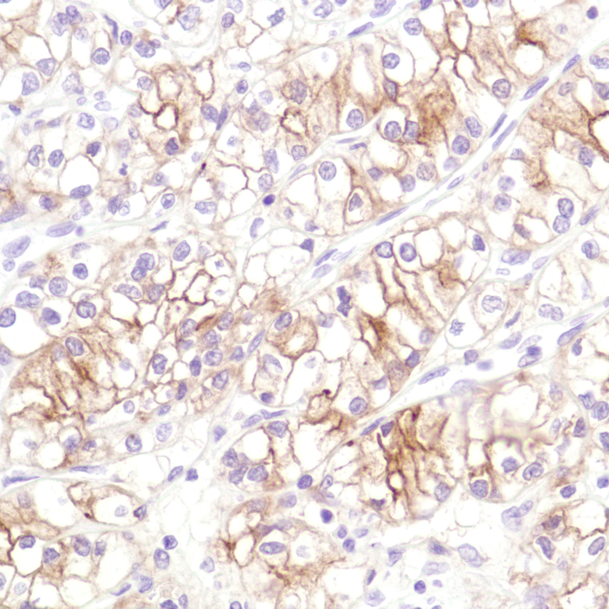
ARG52667 anti-CD10 antibody [SP179] IHC-P image
Immunohistochemistry: Human Renal Cell Carcinoma stained with CD10 antibody [SP179] (ARG52667)
ARG52667 anti-CD10 antibody [SP179] IHC-P image
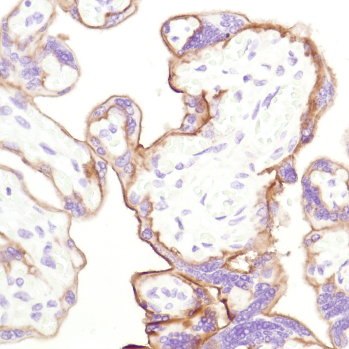
Immunohistochemistry: Human Placenta stained with CD10 antibody [SP179] (ARG52667)
ARG52667 anti-CD10 antibody [SP179] IHC-P image
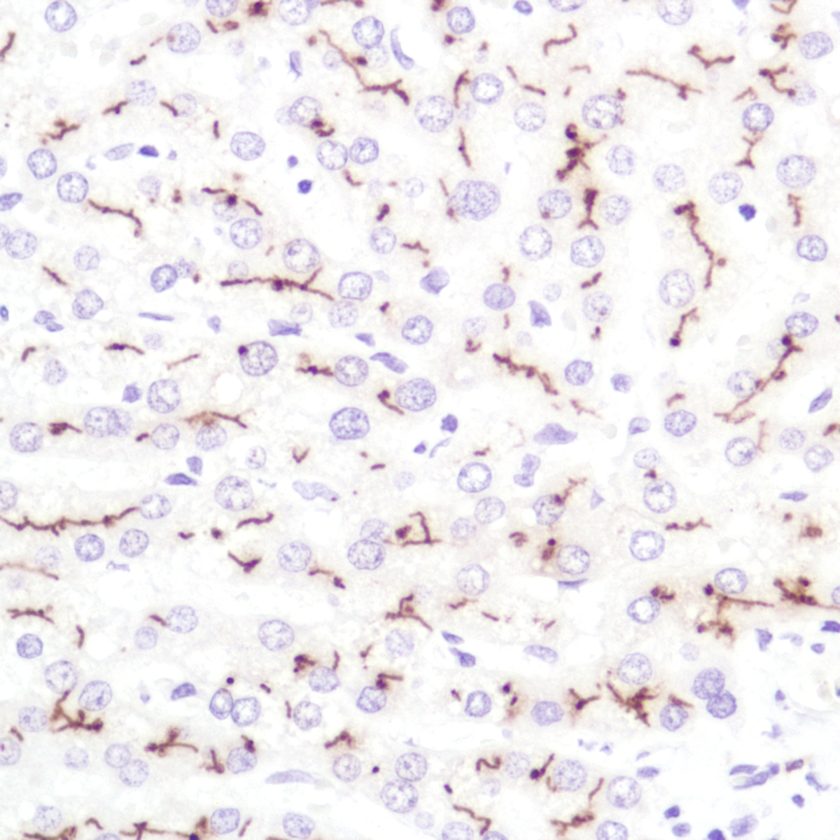
Immunohistochemistry: Human Liver stained with CD10 antibody [SP179] (ARG52667)
ARG52667 anti-CD10 antibody [SP179] IHC-P image
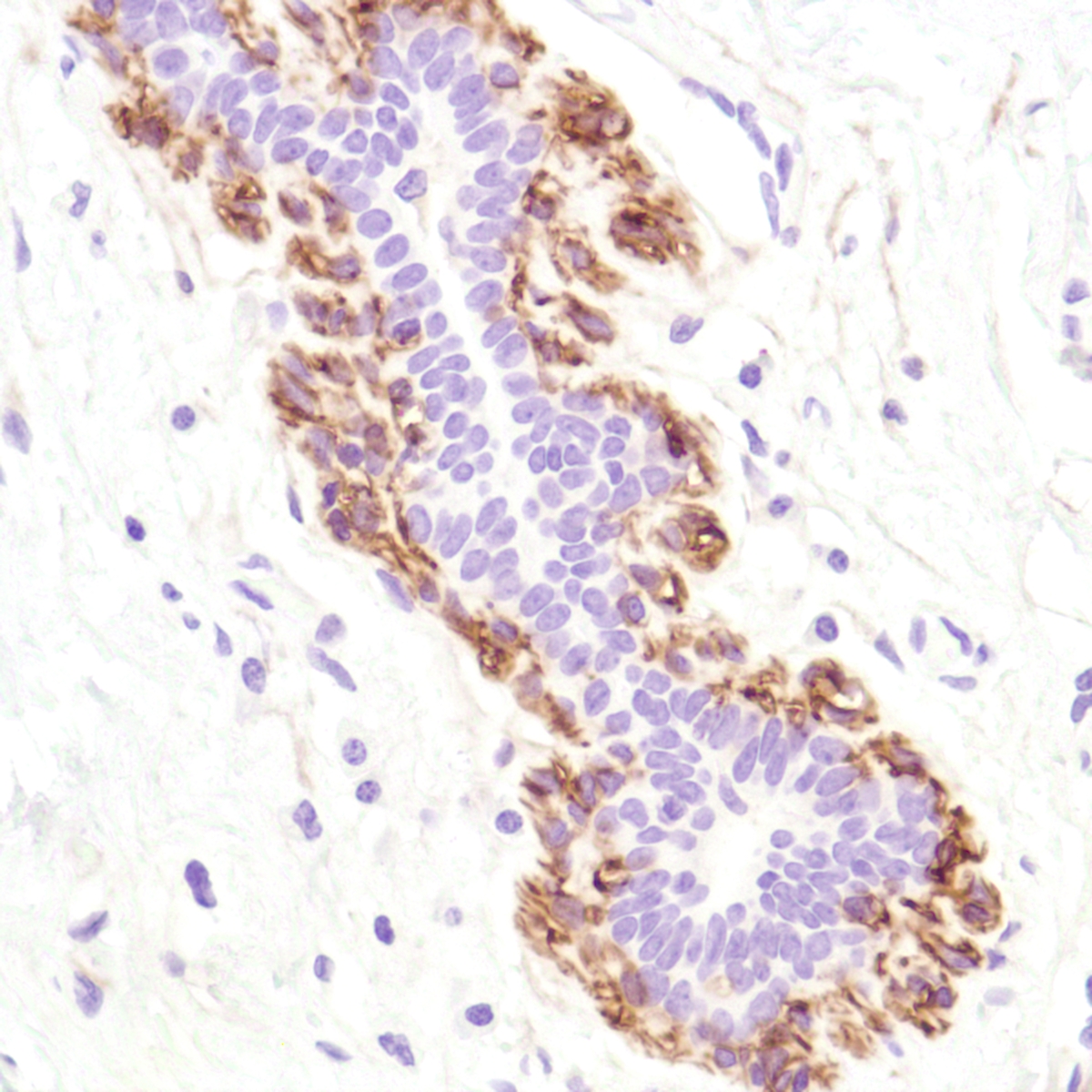
Immunohistochemistry: Human Prostate stained with CD10 antibody [SP179] (ARG52667)
New Products






