anti-Cytokeratin 12 antibody
| 产品描述 | Rabbit Polyclonal antibody recognizes Cytokeratin 12 |
|---|---|
| 反应物种 | Hu, Ms, Rat |
| 应用 | FACS, IHC-P, WB |
| 宿主 | Rabbit |
| 克隆 | Polyclonal |
| 同位型 | IgG |
| 靶点名称 | Cytokeratin 12 |
| 抗原物种 | Human |
| 抗原 | KLH-conjugated synthetic peptide corresponding to aa. 442-471 (C-terminus) of Human Cytokeratin 12. |
| 偶联标记 | Un-conjugated |
| 別名 | K12; CK-12; Cytokeratin-12; Keratin-12; Keratin, type I cytoskeletal 12 |
| 应用建议 |
| ||||||||
|---|---|---|---|---|---|---|---|---|---|
| 应用说明 | * The dilutions indicate recommended starting dilutions and the optimal dilutions or concentrations should be determined by the scientist. | ||||||||
| 阳性对照 | Mouse eyeball |
| 形式 | Liquid |
|---|---|
| 纯化 | Purification with Protein A and immunogen peptide |
| 缓冲液 | PBS and 0.09% (W/V) Sodium azide |
| 抗菌剂 | 0.09% (W/V) Sodium azide |
| 存放说明 | For continuous use, store undiluted antibody at 2-8°C for up to a week. For long-term storage, aliquot and store at -20°C or below. Storage in frost free freezers is not recommended. Avoid repeated freeze/thaw cycles. Suggest spin the vial prior to opening. The antibody solution should be gently mixed before use. |
| 注意事项 | For laboratory research only, not for drug, diagnostic or other use. |
| 数据库连接 | |
|---|---|
| 基因名称 | KRT12 |
| 全名 | keratin 12, type I |
| 背景介绍 | KRT12 encodes the type I intermediate filament chain keratin 12, expressed in corneal epithelia. Mutations in this gene lead to Meesmann corneal dystrophy. [provided by RefSeq, Jul 2008] |
| 生物功能 | May play a unique role in maintaining the normal corneal epithelial function. Together with KRT3, essential for the maintenance of corneal epithelium integrity (By similarity). [UniProt] |
| 研究领域 | Controls and Markers antibody; Neuroscience antibody; Signaling Transduction antibody |
| 预测分子量 | 54 kDa |
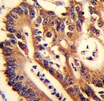
ARG55255 anti-Cytokeratin 12 antibody IHC-P image
Immunohistochemistry: Formalin-fixed and paraffin-embedded Human colon carcinoma stained with ARG55255 anti-Cytokeratin 12 antibody.
ARG55255 anti-Cytokeratin 12 antibody WB image
Western blot: 20 µg of Mouse eyeball lysate stained with ARG55255 anti-Cytokeratin 12 antibody.
ARG55255 anti-Cytokeratin 12 antibody FACS image
Flow Cytometry: K562 cells stained with ARG55255 anti-Cytokeratin 12 antibody (right histogram) or isotype control antibody (left histogram). The cells were fixed with 4% paraformaldehyde (10 min) and then permeabilized with 90% methanol for 10 min. The cells were then incubated in 2% BSA to block non-specific protein-protein interactions followed by the primary antibody at 1:25 dilution for 60 min at 37°C, then incubated with Alexa Fluor® 488 labelled secondary antibody.
New Products


