anti-Hsp 27 phospho (Ser78) antibody
CAT.NO. : ARG51734
US$ Please choose
US$ Please choose
概述
| 产品描述 | Rabbit Polyclonal antibody recognizes Hsp 27 phospho (Ser78) |
|---|---|
| 反应物种 | Hu |
| 应用 | ICC/IF, IHC-P, WB |
| 宿主 | Rabbit |
| 克隆 | Polyclonal |
| 同位型 | IgG |
| 靶点名称 | Hsp 27 |
| 抗原物种 | Human |
| 抗原 | Peptide sequence around phosphorylation site of serine 78 (A-L-S(p)-R-Q) derived from Human Hsp27. |
| 偶联标记 | Un-conjugated |
| 別名 | HSP 27; Heat shock 27 kDa protein; HMN2B; HS.76067; SRP27; HEL-S-102; HspB1; CMT2F; 28 kDa heat shock protein; HSP27; Heat shock protein beta-1; Hsp25; Estrogen-regulated 24 kDa protein; Stress-responsive protein 27; HSP28 |
应用说明
| 应用建议 |
| ||||||||
|---|---|---|---|---|---|---|---|---|---|
| 应用说明 | * The dilutions indicate recommended starting dilutions and the optimal dilutions or concentrations should be determined by the scientist. |
属性
| 形式 | Liquid |
|---|---|
| 纯化 | Antibodies were produced by immunizing rabbits with KLH-conjugated synthetic phosphopeptide. Antibodies were purified by affinity-chromatography using epitope-specific phosphopeptide. In addition, non-phospho specific antibodies were removed by chromatogramphy using non-phosphopeptide. |
| 缓冲液 | PBS (without Mg2+ and Ca2+, pH 7.4), 150mM NaCl, 0.02% Sodium azide and 50% Glycerol. |
| 抗菌剂 | 0.02% Sodium azide |
| 稳定剂 | 50% Glycerol |
| 浓度 | 1 mg/ml |
| 存放说明 | For continuous use, store undiluted antibody at 2-8°C for up to a week. For long-term storage, aliquot and store at -20°C. Storage in frost free freezers is not recommended. Avoid repeated freeze/thaw cycles. Suggest spin the vial prior to opening. The antibody solution should be gently mixed before use. |
| 注意事项 | For laboratory research only, not for drug, diagnostic or other use. |
生物信息
| 数据库连接 | |
|---|---|
| 基因名称 | HSPB1 |
| 全名 | heat shock 27kDa protein 1 |
| 背景介绍 | Involved in stress resistance and actin organization. |
| 生物功能 | Involved in stress resistance and actin organization. [UniProt] |
| 研究领域 | Cancer antibody; Cell Biology and Cellular Response antibody; Signaling Transduction antibody |
| 预测分子量 | 23 kDa |
| 翻译后修饰 | Phosphorylated upon exposure to protein kinase C activators and heat shock (PubMed:8325890). Phosphorylation by MAPKAPK2 and MAPKAPK3 in response to stress dissociates HSPB1 from large small heat-shock protein (sHsps) oligomers and impairs its chaperone activity and ability to protect against oxidative stress effectively. Phosphorylation by MAPKAPK5 in response to PKA stimulation induces F-actin rearrangement (PubMed:1332886, PubMed:8093612, PubMed:19166925). |
检测图片 (3)
ARG51734 anti-Hsp 27 phospho (Ser78) antibody ICC/IF image
Immunofluorescence: Methanol-fixed HeLa cells showing cytoplasmic, nuclear, centrosomal, midbody staining stained with ARG51734 anti-Hsp 27 phospho (Ser78) antibody.
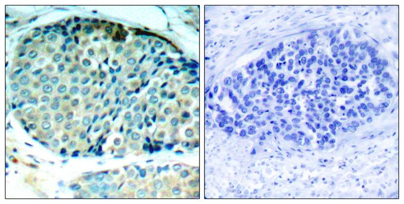
ARG51734 anti-Hsp 27 phospho (Ser78) antibody IHC-P image
Immunohistochemistry: Paraffin-embedded Human breast carcinoma tissue stained with ARG51734 anti-Hsp 27 phospho (Ser78) antibody (left) or the same antibody preincubated with blocking peptide (right).
ARG51734 anti-Hsp 27 phospho (Ser78) antibody WB image
Western blot: Extracts from HL60 cells untreated or treated with UV and stained with ARG51734 anti-Hsp 27 phospho (Ser78) antibody.
New Products


