anti-IFRD1 antibody
CAT.NO. : ARG66470
US$ Please choose
US$ Please choose
Size:
Trail, Bulk size or Custom requests Please contact us
概述
| 产品描述 | Rabbit Polyclonal antibody recognizes IFRD1 |
|---|---|
| 反应物种 | Hu, Ms, Rat |
| 应用 | IHC-P, WB |
| 宿主 | Rabbit |
| 克隆 | Polyclonal |
| 同位型 | IgG |
| 靶点名称 | IFRD1 |
| 抗原物种 | Human |
| 抗原 | Recombinant full length protein of Human IFRD1. |
| 偶联标记 | Un-conjugated |
| 別名 | Nerve growth factor-inducible protein PC4; Interferon-related developmental regulator 1; PC4; TIS7 |
应用说明
| 应用建议 |
| ||||||
|---|---|---|---|---|---|---|---|
| 应用说明 | IHC-P: Antigen Retrieval: Heat mediation was performed in Sodium citrate buffer (pH 6.0). * The dilutions indicate recommended starting dilutions and the optimal dilutions or concentrations should be determined by the scientist. |
属性
| 形式 | Liquid |
|---|---|
| 纯化 | Affinity purification with immunogen. |
| 缓冲液 | 0.42% Potassium phosphate (pH 7.3), 0.87% NaCl, 0.01% Sodium azide and 30% Glycerol. |
| 抗菌剂 | 0.01% Sodium azide |
| 稳定剂 | 30% Glycerol |
| 存放说明 | For continuous use, store undiluted antibody at 2-8°C for up to a week. For long-term storage, aliquot and store at -20°C. Storage in frost free freezers is not recommended. Avoid repeated freeze/thaw cycles. Suggest spin the vial prior to opening. The antibody solution should be gently mixed before use. |
| 注意事项 | For laboratory research only, not for drug, diagnostic or other use. |
生物信息
| 数据库连接 | |
|---|---|
| 基因名称 | IFRD1 |
| 全名 | interferon-related developmental regulator 1 |
| 背景介绍 | This gene is an immediate early gene that encodes a protein related to interferon-gamma. This protein may function as a transcriptional co-activator/repressor that controls the growth and differentiation of specific cell types during embryonic development and tissue regeneration. Mutations in this gene are associated with sensory/motor neuropathy with ataxia. This gene may also be involved in modulating the pathogenesis of cystic fibrosis lung disease. Alternate splicing results in multiple transcript variants. [provided by RefSeq, Oct 2010] |
| 生物功能 | Could play a role in regulating gene activity in the proliferative and/or differentiative pathways induced by NGF. May be an autocrine factor that attenuates or amplifies the initial ligand-induced signal (By similarity). [UniProt] |
| 预测分子量 | 50 kDa |
检测图片 (2)
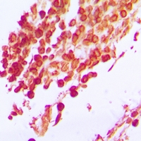
ARG66470 anti-IFRD1 antibody IHC-P image
Immunohistochemistry: Formalin-fixed and paraffin-embedded Human lung. Antigen Retrieval: Heat mediation was performed in Sodium citrate buffer (pH 6.0). The section was then incubated with ARG66470 anti-IFRD1 antibody at room temperature and detected using an HRP conjugated compact polymer system. DAB was used as the chromogen. The section was then counterstained with haematoxylin and mounted with DPX.
ARG66470 anti-IFRD1 antibody WB image
Western blot: HeLa, Raji, Mouse lung and Rat brain lysates stained with ARG66470 anti-IFRD1 antibody.
New Products

