anti-p70 S6 Kinase phospho (Ser424) antibody
CAT.NO. : ARG51764
US$ Please choose
US$ Please choose
*产品价格可能会有所调整,请以品牌方官网实时更新的价格为准,以确保准确性。
概述
| 产品描述 | Rabbit Polyclonal antibody recognizes p70 S6 Kinase phospho (Ser424) |
|---|---|
| 反应物种 | Hu, Ms, Rat |
| 应用 | ICC/IF, IHC-P, WB |
| 宿主 | Rabbit |
| 克隆 | Polyclonal |
| 同位型 | IgG |
| 靶点名称 | p70 S6 Kinase |
| 抗原物种 | Human |
| 抗原 | Peptide sequence around phosphorylation site of serine 424 (P-V-S(p)-P-V) derived from Human p70 S6 Kinase. |
| 偶联标记 | Un-conjugated |
| 別名 | p70 S6 kinase alpha; p70(S6K)-alpha; p70-alpha; p70 S6KA; S6K; STK14A; S6K1; p70-S6K 1; Ribosomal protein S6 kinase I; 70 kDa ribosomal protein S6 kinase 1; S6K-beta-1; P70S6K1; PS6K; p70 ribosomal S6 kinase alpha; p70-S6K; EC 2.7.11.1; Serine/threonine-protein kinase 14A; p70 S6K-alpha; Ribosomal protein S6 kinase beta-1 |
应用说明
| 应用建议 |
| ||||||||
|---|---|---|---|---|---|---|---|---|---|
| 应用说明 | * The dilutions indicate recommended starting dilutions and the optimal dilutions or concentrations should be determined by the scientist. |
属性
| 形式 | Liquid |
|---|---|
| 纯化 | Antibodies were produced by immunizing rabbits with KLH-conjugated synthetic phosphopeptide. Antibodies were purified by affinity-chromatography using epitope-specific phosphopeptide. In addition, non-phospho specific antibodies were removed by chromatogramphy using non-phosphopeptide. |
| 缓冲液 | PBS (without Mg2+ and Ca2+, pH 7.4), 150mM NaCl, 0.02% Sodium azide and 50% Glycerol. |
| 抗菌剂 | 0.02% Sodium azide |
| 稳定剂 | 50% Glycerol |
| 浓度 | 1 mg/ml |
| 存放说明 | For continuous use, store undiluted antibody at 2-8°C for up to a week. For long-term storage, aliquot and store at -20°C. Storage in frost free freezers is not recommended. Avoid repeated freeze/thaw cycles. Suggest spin the vial prior to opening. The antibody solution should be gently mixed before use. |
| 注意事项 | For laboratory research only, not for drug, diagnostic or other use. |
生物信息
| 数据库连接 | |
|---|---|
| 基因名称 | RPS6KB1 |
| 全名 | ribosomal protein S6 kinase, 70kDa, polypeptide 1 |
| 背景介绍 | Phosphorylates specifically ribosomal protein S6 in response to insulin or several classes of mitogens. Promotes protein synthesis by phosphorylating PDCD4 at 'Ser-67' and targeting it for degradation. |
| 生物功能 | Serine/threonine-protein kinase that acts downstream of mTOR signaling in response to growth factors and nutrients to promote cell proliferation, cell growth and cell cycle progression. Regulates protein synthesis through phosphorylation of EIF4B, RPS6 and EEF2K, and contributes to cell survival by repressing the pro-apoptotic function of BAD. Under conditions of nutrient depletion, the inactive form associates with the EIF3 translation initiation complex. Upon mitogenic stimulation, phosphorylation by the mammalian target of rapamycin complex 1 (mTORC1) leads to dissociation from the EIF3 complex and activation. The active form then phosphorylates and activates several substrates in the pre-initiation complex, including the EIF2B complex and the cap-binding complex component EIF4B. Also controls translation initiation by phosphorylating a negative regulator of EIF4A, PDCD4, targeting it for ubiquitination and subsequent proteolysis. Promotes initiation of the pioneer round of protein synthesis by phosphorylating POLDIP3/SKAR. In response to IGF1, activates translation elongation by phosphorylating EEF2 kinase (EEF2K), which leads to its inhibition and thus activation of EEF2. Also plays a role in feedback regulation of mTORC2 by mTORC1 by phosphorylating RICTOR, resulting in the inhibition of mTORC2 and AKT1 signaling. Mediates cell survival by phosphorylating the pro-apoptotic protein BAD and suppressing its pro-apoptotic function. Phosphorylates mitochondrial URI1 leading to dissociation of a URI1-PPP1CC complex. The free mitochondrial PPP1CC can then dephosphorylate RPS6KB1 at Thr-412, which is proposed to be a negative feedback mechanism for the RPS6KB1 anti-apoptotic function. Mediates TNF-alpha-induced insulin resistance by phosphorylating IRS1 at multiple serine residues, resulting in accelerated degradation of IRS1. In cells lacking functional TSC1-2 complex, constitutively phosphorylates and inhibits GSK3B. May be involved in cytoskeletal rearrangement through binding to neurabin. Phosphorylates and activates the pyrimidine biosynthesis enzyme CAD, downstream of MTOR. [UniProt] |
| 研究领域 | Cell Biology and Cellular Response antibody; Gene Regulation antibody; Metabolism antibody; Signaling Transduction antibody |
| 预测分子量 | 59 kDa |
| 翻译后修饰 | Phosphorylation at Thr-412 is regulated by mTORC1. The phosphorylation at this site is maintained by an agonist-dependent autophosphorylation mechanism (By similarity). Activated by phosphorylation at Thr-252 by PDPK1. Dephosphorylation by PPP1CC at Thr-412 in mitochondrion. |
检测图片 (3)
ARG51764 anti-p70 S6 Kinase phospho (Ser424) antibody WB image
Western blot: Extracts from MCF cells untreated or treated with EGF stained with ARG51764 anti-p70 S6 Kinase phospho (Ser424) antibody.
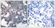
ARG51764 anti-p70 S6 Kinase phospho (Ser424) antibody IHC-P image
Immunohistochemistry: Paraffin-embedded Human breast carcinoma tissue stained with ARG51764 anti-p70 S6 Kinase phospho (Ser424) antibody (left) or the same antibody preincubated with blocking peptide (right).
ARG51764 anti-p70 S6 Kinase phospho (Ser424) antibody ICC/IF image
Immunofluorescence: methanol-fixed HeLa cells showing cytoplasmic, centrosomal and nuclear staining stained with ARG51764 anti-p70 S6 Kinase phospho (Ser424) antibody.
New Products


