anti-PDCD4 antibody
CAT.NO. : ARG44721
US$ Please choose
US$ Please choose
Size:
Trail, Bulk size or Custom requests Please contact us
概述
| 产品描述 | Mouse Monoclonal antibody recognizes PDCD4 |
|---|---|
| 反应物种 | Hu |
| 应用 | IHC-P, IP, WB |
| 宿主 | Mouse |
| 克隆 | Monoclonal |
| 同位型 | IgG1 |
| 靶点名称 | PDCD4 |
| 抗原物种 | Human |
| 偶联标记 | Un-conjugated |
| 別名 | Neoplastic transformation inhibitor protein; Nuclear antigen H731-like; Protein 197/15a; Programmed cell death protein 4; H731 |
应用说明
| 应用建议 |
| ||||||||
|---|---|---|---|---|---|---|---|---|---|
| 应用说明 | * The dilutions indicate recommended starting dilutions and the optimal dilutions or concentrations should be determined by the scientist. |
属性
| 形式 | Liquid |
|---|---|
| 纯化 | Protein A purification |
| 缓冲液 | PBS with 0.09% sodium azide |
| 存放说明 | For continuous use, store undiluted antibody at 2-8°C for up to a week. For long-term storage, aliquot and store at -20°C or below. Storage in frost free freezers is not recommended. Avoid repeated freeze/thaw cycles. Suggest spin the vial prior to opening. The antibody solution should be gently mixed before use. |
| 注意事项 | For laboratory research only, not for drug, diagnostic or other use. |
生物信息
| 数据库连接 | |
|---|---|
| 基因名称 | PDCD4 |
| 全名 | programmed cell death 4 (neoplastic transformation inhibitor) |
| 背景介绍 | This gene is a tumor suppressor and encodes a protein that binds to the eukaryotic translation initiation factor 4A1 and inhibits its function by preventing RNA binding. Alternative splicing results in multiple transcript variants. [provided by RefSeq, Dec 2010] |
| 生物功能 | Inhibits translation initiation and cap-dependent translation. May excert its function by hindering the interaction between EIF4A1 and EIF4G. Inhibits the helicase activity of EIF4A. Modulates the activation of JUN kinase. Down-regulates the expression of MAP4K1, thus inhibiting events important in driving invasion, namely, MAPK85 activation and consequent JUN-dependent transcription. May play a role in apoptosis. Tumor suppressor. Inhibits tumor promoter-induced neoplastic transformation. Binds RNA (By similarity). [UniProt] |
| 细胞定位 | Nucleus. Cytoplasm. Note=Shuttles between the nucleus and cytoplasm (By similarity). Predominantly nuclear under normal growth conditions, and when phosphorylated at Ser-457 (PubMed:16357133). [UniProt] |
| 预测分子量 | 52 kDa |
| 翻译后修饰 | Polyubiquitinated, leading to its proteasomal degradation. Rapidly degraded in response to mitogens. Phosphorylation of the phosphodegron promotes interaction with BTRC and proteasomal degradation. Phosphorylated at Ser-67 by RPS6KB1 in response to mitogens; phosphorylation promotes proteasomal degradation of PDCD4. [UniProt] |
检测图片 (3)
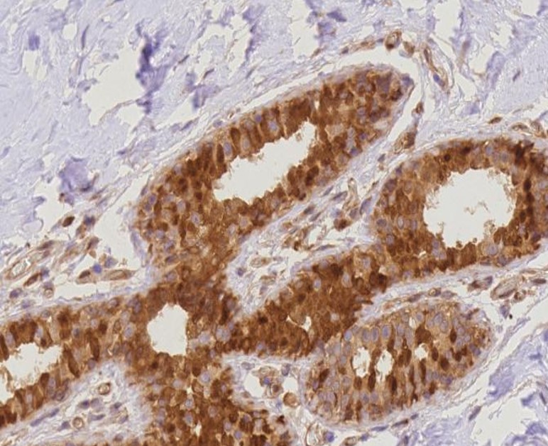
ARG44721 anti-PDCD4 antibody IHC-P image
Immunohistochemistry: Human breast stained with ARG44721 anti-PDCD4 antibody at 5 µg/mL dilution.
ARG44721 anti-PDCD4 antibody WB image
Western blot: MOLT4 stained with ARG44721 anti-PDCD4 antibody at 1 µg/mL dilution.
ARG44721 anti-PDCD4 antibody IP image
Immunoprecipitation: MOLT4 lysate immunoprecipitated with 2.5 µg of ARG44721 anti-PDCD4 antibody.
New Products


