Anti-Serotype 4 Fowl Adenovirus (FAdV-4) Fiber-1 Protein Mouse Monoclonal Antibody (3B5)
CAT.NO. : AXA0024
RMB Please choose
RMB Please choose
Size:
Trail, Bulk size or Custom requests Please contact us
*产品价格可能会有所调整,请以品牌方官网实时更新的价格为准,以确保准确性。
Background
Serotype 4 Fowl Adenovirus (FAdV-4) Fiber-1 Protein is a key structural glycoprotein protruding from the viral capsid surface that plays a pivotal role in viral infection by mediating the recognition and attachment to specific receptors on host chicken cells it is a major immunogenic component of FAdV-4 contributing significantly to the induction of protective immune responses in infected hosts including the production of neutralizing antibodies its unique sequence and structural features distinguish it from Fiber proteins of other FAdV serotypes making it a specific target for serological diagnosis and epidemiological surveillance of FAdV-4 infections it also serves as a core antigen for the development of subunit vaccines and diagnostic reagents aimed at preventing and controlling hydropericardium-hepatitis syndrome caused by FAdV-4.
Application
|
Application |
Recommended Dilution Ratio |
|
IFA |
1:200-1:1000 |
|
IP |
1:200-1:1000 |
*The optimal dilution ratio/concentration should be determined by researchers.
Overview
|
Host |
Mouse |
|
Antibody Subtype |
IgG |
|
Clonality |
Monoclonal |
|
Applications |
IFA, IP |
|
Recommended Dilution Ratio |
IFA: 1:1000; IP: 1:1000 |
|
Reactivity |
FAdV-C (FAdV-4/10) Fiber-1 Protein |
|
Appearance |
Liquid |
|
Storage Buffer |
PBS, 20% Glycerol; Preservative: 0.05% Sodium Azide |
|
Storage Conditions |
Store at -20°C, valid for 1 year. Avoid repeated freeze-thaw cycles; can be stored at 4°C for 1-2 weeks. |
|
Concentration |
1 mg/mL |
|
Immunogen |
GST-Fiber-1, the Prokaryotic Expression Product of FAdV-4 Fiber-1 Gene |
Data

A: LMH cells infected with FAdV-4, B: LMH cells infected with FAdV-8b, C: LMH cells transfected with pcDNA3.1-Fiber-1, D: LMH cells transfected with pcDNA3.1 IFA results demonstrate that monoclonal antibody 3B5 can effectively recognize LMH cells infected with FAdV-4 and LMH cells overexpressing FAdV-4 Fiber-1.

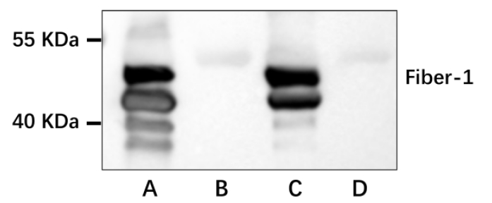
IP: 3B5 mAb WB: Mouse-derived anti-Fiber-1 Antibody
A: LMH cells transfected with pcDNA3.1-Fiber-1, B: LMH cells transfected with pcDNA3.1 (control), C: LMH cells infected with FAdV-4-WT, D: Uninfected LMH cells (control)
IP results demonstrate that monoclonal antibody 3B5 can effectively immunoprecipitate the FAdV-4 Fiber-1 protein.
Storage
Store at 4°C short term. For long term storage, store at -20°C, avoiding freeze/thaw cycles.
Research Use Only
For Research Use Only. Not for use in diagnostic procedures.
New Products
