BATF3 Rabbit Polyclonal Antibody
CAT.NO. : ARA0300
RMB Please choose
RMB Please choose
*产品价格可能会有所调整,请以品牌方官网实时更新的价格为准,以确保准确性。
Background
BATF3, or Basic Leucine Zipper ATF-Like Transcription Factor 3, is a transcription factor crucial for the development of conventional type 1 dendritic cells (cDC1s), which are essential for cross-presentation of antigens and CD8 T cell mediated immunity against intracellular pathogens and tumors.
Application
WB :1/500 - 1/1000)
IHC:1/50 - 1/100)
IHC:1/50 - 1/100)
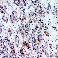
Data

Western blot analysis of BATF3 expression in mouse lung (A), mouse spleen (B) whole cell lysates. (Predicted band size: 14 kD; Observed band size: 15 kD)

Immunohistochemical analysis of BATF3 staining in human breast cancer formalin fixed paraffin embedded tissue section. The section was pre-treated using heat mediated antigen retrieval with sodium citrate buffer (pH 6.0). The section was then incubated with the antibody at room temperature and detected using an HRP conjugated compact polymer system.
New Products
Datasheet
