BCOR Monoclonal Antibody(ARB595)
CAT.NO. : ARB6889
RMB Please choose
RMB Please choose
Size:
Trail, Bulk size or Custom requests Please contact us
*产品价格可能会有所调整,请以品牌方官网实时更新的价格为准,以确保准确性。
Background
BCL6 corepressor protein (BCOR) is a ubiquitously expressed transcriptional repressor that is recruited to target genes by BCL6 and other transcription factors. BCOR interacts with recruits histone deacetylase (HDAC) and DNA methyltransferase (DNMT) proteins to facilitate localized histone deacetylation and DNA methylation, resulting in repression of gene expression. Mutations and translocations involving BCOR have been observed in acute myeloid leukemia, bone sarcoma and medulloblastoma and mutations in BCOR are known to cause X-linked Oculofaciocardiodental and Lenz microphthalmia syndromes. The BCOR gene is localised at Xp11.4 and plays an important role in normal early embryonic development. Expressed in a variety of tumours such as rhabdomyosarcoma, ossifying fibromucinous tumour subtype (lacking S100 expression), CNS PNET, retinoblastoma, medulloblastoma, haematological malignancies, renal clear-cell sarcoma with BCOR gene abnormality or UWHAE-NUTM2 fusion and high-grade endometrial mesenchymal sarcoma. The diagnosis of high-grade endometrial mesenchymal sarcoma with ZC3H7B-BCOR gene fusion is often made in combination with CD10 and CyclinD1.
Application
|
Application |
Dilution Ratio |
|
IHC-P |
1:100-1:200 |
Overview
|
Predicted Molecular Wt |
192kDa |
|
Species Cross-reactivity |
Human |
|
Applications |
IHC-P |
|
Purity |
ProA affinity purified IgG |
|
Form |
Liquid |
|
SwissProt ID |
Q6W2J9 |
|
Subcellular location |
Nucleus |
|
Recommended Method |
Heat induced epitope retrieval with Tris-EDTA buffer (pH 9.0), primary antibody incubate at RT (18℃-25℃) for 30 minutes. |
|
Immunogen |
Recombinant protein. |
|
Storage Buffer |
PBS 59%, Sodium azide 0.01%, Glycerol 40%, BSA 0.05% |
Data

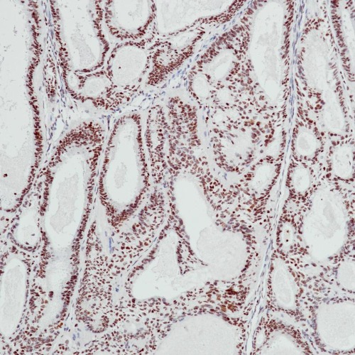
Immunohistochemical staining of human endometrial cancer tissue using BCOR Monoclonal Antibody(ARB595)
Storage
Store at 4°C short term. For long term storage, store at -20°C, avoiding freeze/thaw cycles.
Research Use Only
For Research Use Only. Not for use in diagnostic procedures.
New Products
