Beta Actin Mouse Monoclonal antibody(ARA711)
CAT.NO. : ARA6447
RMB Please choose
RMB Please choose
Size:
Trail, Bulk size or Custom requests Please contact us
Background
Beta actin, also named as ACTB and F-Actin, belongs to the actin family. Actins are highly conserved globular proteins that are involved in various types of cell motility and are ubiquitously expressed in all eukaryotic cells. At least six isoforms of actins are known in mammals and other vertebrates: alpha (ACTC1, cardiac muscle 1), alpha 1 (ACTA1, skeletal muscle) and 2 (ACTA2, aortic smooth muscle), beta (ACTB), gamma 1 (ACTG1) and 2 (ACTG2, enteric smooth muscle). Beta and gamma 1 are two non-muscle actin proteins. Most actins consist of 376aa, while ACTG2 (rich in muscles) has 375aa and ACTG1(found in non-muscle cells) has only 374aa. Beta actin has been widely used as the internal control in RT-PCR and Western Blotting as a 42-kDa protein. However, the 37-40 kDa cleaved fragment of beta actin can be generated during apoptosis process. This antibody can recognize all the actins.
Application
|
Application |
Dilution Ratio |
|
WB |
1:5000 - 1:40000 |
|
IHC |
1:500 - 1:6000 |
|
IF/ICC |
1:200 - 1:1500 |
Overview
|
Reactivity |
Human, Mouse, Rat, Zebrafish, Plant |
|
Host / Isotype |
Mouse / IgM |
|
Class |
Monoclonal |
|
Type |
Antibody |
|
Immunogen |
Recombinant human beta actin protein |
|
Full Name |
actin, beta |
|
Calculated Molecular Weight |
375 aa, 42 kDa |
|
Observed Molecular Weight |
42 kDa |
|
GenBank Accession Number |
BC002409 |
|
Gene Symbol |
Beta Actin |
|
Gene ID (NCBI) |
60 |
|
Conjugate |
Unconjugated |
|
Form |
Liquid |
|
Purification Method |
Caprylic acid/ammonium sulfate precipitation |
|
UNIPROT ID |
P60709 |
|
Storage Buffer |
PBS with 0.02% sodium azide and 50% glycerol, pH 7.3. |
Data

HEK-293 cells were subjected to SDS PAGE followed by western blot with Beta Actin Mouse Monoclonal antibody(ARA711) at dilution of 1:2000 incubated at room temperature for 1.5 hours.

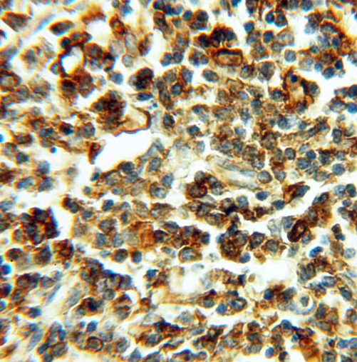
Immunohistochemical analysis of paraffin-embedded human spleen using Beta Actin Mouse Monoclonal antibody(ARA711) at dilution of 1:100 .

Immunofluorescent analysis of (4% PFA) fixed MDCK cells using Beta Actin Mouse Monoclonal antibody(ARA711) at dilution of 1:800 and Fluor 488 Mouse IgG Goat Antibody (H+L) .
Storage
Store at +4℃ after thawing. Aliquot store at -20℃. Avoid repeated freeze / thaw cycles.
Research Use Only
For Research Use Only. Not for use in diagnostic procedures.
New Products
