Beta Tubulin Rabbit monoclonal antibody(ARA675)
CAT.NO. : ARA6427
RMB Please choose
RMB Please choose
Size:
Trail, Bulk size or Custom requests Please contact us
Background
There are five tubulins in human cells: alpha, beta, gamma, delta, and epsilon. Tubulins are conserved across species. They form heterodimers, which multimerize to form a microtubule filament. An alpha and beta tubulin heterodimer is the basic structural unit of microtubules. The heterodimer does not come apart once formed. The alpha and beta tubulins, which are each about 55 kDa MW, are homologous but not identical. Alpha tubulin is useful for scientists across fields as an internal control due to its high, ubiquitous expression pattern.
Application
|
Application |
Dilution Ratio |
|
WB |
1:4000 - 1:50000 |
|
IP |
0.4-4.0 µg for 1.0-4.0 mg of total protein lysate |
|
IHC |
1:300 - 1:3000 |
|
IF/ICC |
1:200 - 1:2000 |
|
FC |
0.20 µg per 10^6 cells in a 100 µl suspension |
Overview
|
Reactivity |
Human, Mouse, Rat, Zebrafish |
|
Host / Isotype |
Rabbit / IgG |
|
Class |
Recombinant |
|
Type |
Antibody |
|
Immunogen |
Recombinant human Tubulin-beta protein |
|
Full Name |
tubulin, beta 3 |
|
Calculated Molecular Weight |
450 aa, 50 kDa |
|
Observed Molecular Weight |
50-55 kDa |
|
GenBank Accession Number |
BC000748 |
|
Gene Symbol |
TUBB3 |
|
Gene ID (NCBI) |
10381 |
|
Conjugate |
Unconjugated |
|
Form |
Liquid |
|
Purification Method |
Protein A purification |
|
UNIPROT ID |
Q13509 |
|
Storage Buffer |
PBS with 0.02% sodium azide and 50% glycerol, pH 7.3. |
Data

WB result of Beta Tubulin Rabbit monoclonal antibody(ARA675) with sh-Control and sh-Beta Tubulin transfected HEK-293 cells.

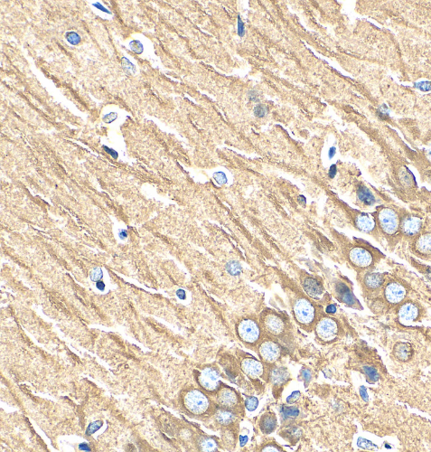
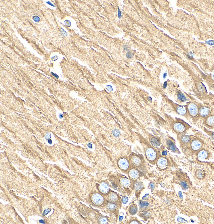
Immunohistochemical analysis of paraffin-embedded rat brain tissue slide using Beta Tubulin Rabbit monoclonal antibody(ARA675) at dilution of 1:1000 (under 40x lens). Heat mediated antigen retrieval with Tris-EDTA buffer (pH 9.0).

Immunofluorescent analysis of (4% PFA) fixed HeLa cells using Beta Tubulin Rabbit monoclonal antibody(ARA675) at dilution of 1:550 and Fluor 488-Conjugated AffiniPure Goat Anti-Rabbit IgG(H+L).

IP result of Beta Tubulin Rabbit monoclonal antibody(ARA675) (IP:4ug; Detection:1:10000) with HEK-293 cells lysate 1610 ug.

1x10^6 HEK-293 cells were intracellularly stained with 0.2 ug Beta Tubulin Rabbit monoclonal antibody(ARA675) and Fluor 488-Conjugated AffiniPure Rabbit IgG(H+L) Goat antibody (red), or 0.2 ug Isotype Control (blue). Cells were fixed with 4% PFA and permeabilized with Flow Cytometry Perm Buffer.
Storage
Store at +4℃ after thawing. Aliquot store at -20℃. Avoid repeated freeze / thaw cycles.
Research Use Only
For Research Use Only. Not for use in diagnostic procedures.
New Products
