Calponin Mouse Monoclonal Antibody(ARM935)
CAT.NO. : ARM6725
RMB Please choose
RMB Please choose
Size:
Trail, Bulk size or Custom requests Please contact us
*产品价格可能会有所调整,请以品牌方官网实时更新的价格为准,以确保准确性。
Background
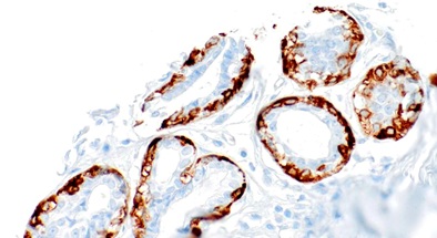
Calponin is an actin, tropomyosin and calmodulin-binding protein that involves in the regulation of smooth muscle contraction. This antibody is mainly used for the diagnosis and research of myoepithelial cells in leiomyoma and breast lesions.
Application
|
Application |
Dilution Ratio |
|
IHC |
1:50 - 1:200 |
Overview
|
Clonality |
Monoclonal |
|
Isotype |
IgG1 |
|
Host |
Mouse |
|
Species Reactivity |
Human |
|
Specificity |
Calponin |
|
Purity/Purification |
Purified |
|
Form/Format |
Tris Buffer, pH 7.3 - 7.7, with 1% BSA and <0.1% Sodium Azide |
|
Immunogen |
Recombinant Protein |
Data

Immunohistochemical staining of human breast tissue using Calponin Mouse Monoclonal Antibody (ARM935).
Storage
Store at -20°C. Stable for one year from the date of shipment.
Research Use Only
For Research Use Only. Not for use in diagnostic procedures.
New Products
