Carbonic Anhydrase 12 Rabbit Monoclonal Antibody(ARB584)
CAT.NO. : ARB6876
RMB Please choose
RMB Please choose
Size:
Trail, Bulk size or Custom requests Please contact us
*产品价格可能会有所调整,请以品牌方官网实时更新的价格为准,以确保准确性。
Background
Carbonic Anhydrase 12 (CA12) is a glycosylphosphatidylinositol (GPI)-anchored transmembrane enzyme that catalyzes the reversible hydration of carbon dioxide to bicarbonate and protons (CO₂ + H₂O ⇌ HCO₃⁻ + H⁺), critically regulating extracellular pH homeostasis and ion transport. Carbonic Anhydrase 12 (CA12) is predominantly expressed in kidney and endometrium. In tumor tissue, it is mainly expressed in breast cancer and renal cell carcinoma. Carbonic Anhydrase 12 (CA12) serves as a clinically validated biomarker and therapeutic target in hormone-responsive carcinomas. Its overexpression, detected via immunohistochemistry (IHC) or serum assays, correlates strongly with breast cancer, clear cell renal cell carcinoma (ccRCC) and endometrial adenocarcinoma, where it drives tumor progression by acidifying the extracellular microenvironment.
Application
|
Application |
Dilution Ratio |
|
IHC-P |
1:100-1:200 |
Overview
|
Predicted Molecular Wt |
40kDa |
|
Species Cross-reactivity |
Human |
|
Applications |
IHC-P |
|
Purity |
ProA affinity purified IgG |
|
Form |
Liquid |
|
Swissprot ID |
O43570 |
|
Subcellular location |
Membrane and cytoplasm |
|
Recommended Method |
Heat induced epitope retrieval with Tris-EDTA buffer (pH 9.0), primary antibody incubate at RT (18℃-25℃) for 30 minutes. |
|
Immunogen |
Synthetic peptide. |
|
Storage Buffer |
PBS 59%, Sodium azide 0.01%, Glycerol 40%, BSA 0.05% |
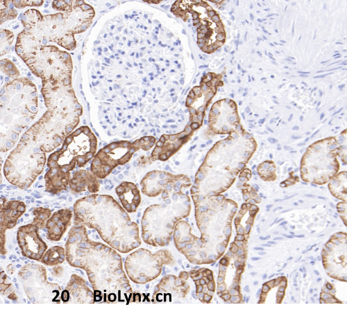
Data

Immunohistochemical staining of human kidney tissue using Carbonic Anhydrase 12 Rabbit Monoclonal Antibody(ARB584)
Storage
Store at 4°C short term. For long term storage, store at -20°C, avoiding freeze/thaw cycles.
Research Use Only
For Research Use Only. Not for use in diagnostic procedures.
New Products
