Carbonic Anhydrase 14 Rabbit Monoclonal Antibody(ARB580)
CAT.NO. : ARB6872
RMB Please choose
RMB Please choose
Size:
Trail, Bulk size or Custom requests Please contact us
*产品价格可能会有所调整,请以品牌方官网实时更新的价格为准,以确保准确性。
Background
Carbonic Anhydrase 14 (CA14) is a membrane-associated zinc metalloenzyme belonging to the carbonic anhydrase family. It catalyzes the reversible hydration of carbon dioxide to bicarbonate and protons. In the central nervous system, it contributes critically to neuronal signaling, cerebrospinal fluid production, and possibly neuroprotection. Carbonic Anhydrase 14 (CA14) is predominantly expressed in brain and liver. In tumor tissue, it is mainly expressed in malignant melanoma and hepatocellular carcinoma. Carbonic Anhydrase 14 (CA14) demonstrates emerging diagnostic and prognostic relevance in specific malignancies, notably hepatocellular carcinoma (HCC) and malignant melanoma. In HCC, CA14 is frequently overexpressed in tumor tissues compared to adjacent non-tumorous liver, correlating with advanced tumor stage, vascular invasion and poorer overall survival, suggesting utility as a prognostic biomarker. In malignant melanoma, CA14 expression is linked to tumor progression, potentially contributing to extracellular acidosis, invasion and immune evasion within the tumor microenvironment.
Application
|
Application |
Dilution Ratio |
|
IHC-P |
1:100-1:200 |
Overview
|
Predicted Molecular Wt |
38kDa |
|
Species Cross-reactivity |
Human |
|
Applications |
IHC-P |
|
Purity |
ProA affinity purified IgG |
|
Form |
Liquid |
|
Swissprot ID |
Q9UXU7 |
|
Subcellular location |
Membrane |
|
Recommended Method |
Heat induced epitope retrieval with Tris-EDTA buffer (pH 9.0), primary antibody incubate at RT (18℃-25℃) for 30 minutes. |
|
Immunogen |
Synthetic peptide. |
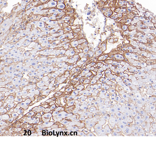
Data

Immunohistochemical staining of human liver tissue using Carbonic Anhydrase 14 Rabbit Monoclonal Antibody(ARB580)
Storage
Store at 4°C short term. For long term storage, store at -20°C, avoiding freeze/thaw cycles.
Research Use Only
For Research Use Only. Not for use in diagnostic procedures.
New Products
