CCL2 Rabbit Polyclonal Antibody
|
Application |
Dilution Ratio |
|
WB |
1:500 - 1:1000 |
|
IHC |
1:50 - 1:200 |
|
Product Description |
Rabbit polyclonal antibody to CCL2 |
|
Immunogen |
Recombinant full length protein of human CCL2. The exact sequence is proprietary. |
|
Purification Method |
The antibody was purified by immunogen affinity chromatography. |
|
Clonality |
Polyclonal |
|
Product Form |
Liquid in 0.42% Potassium phosphate, 0.87% Sodium chloride, pH 7.3, 30% glycerol, and 0.01% sodium azide. |
|
Gene Name |
CCL2 |
|
Related Names |
MCP1; SCYA2; C - C motif chemokine 2; HC11; Monocyte chemoattractant protein 1; Monocyte chemotactic and activating factor; MCAF; Monocyte chemotactic protein 1; MCP - 1; Monocyte secretory protein JE; Small - inducible cytokine A2 |
|
Gene ID (Human) |
6347 |
|
Gene ID (Mouse) |
20296 |
|
Gene ID (Rat) |
24770 |
|
Protein ID (Human) |
P13500 |
|
Protein ID (Mouse) |
P10148 |
|
Protein ID (Rat) |
P14844 |

Western blot analysis of CCL2 expression in mouse heart (A), rat lung (B) whole cell lysates. (Predicted band size: 11 kD; Observed band size: 13 kD)

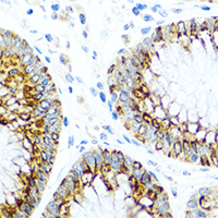
Immunohistochemical analysis of CCL2 staining in human colon formalin fixed paraffin embedded tissue section. The section was pre-treated using heat mediated antigen retrieval with sodium citrate buffer (pH 6.0). The section was then incubated with the antibody at room temperature and detected using an HRP conjugated compact polymer system. DAB was used as the chromogen. The section was then counterstained with haematoxylin and mounted with DPX.
New Products
