CD163 Mouse Monoclonal Antibody(ARM939)
CAT.NO. : ARM6729
RMB Please choose
RMB Please choose
Size:
Trail, Bulk size or Custom requests Please contact us
*产品价格可能会有所调整,请以品牌方官网实时更新的价格为准,以确保准确性。
Background
Cluster of Differentiation 163 (CD163) is a receptor found exclusively on the surface of monocytes and macrophages. The solubilized form in plasma is upregulated in inflammatory diseases such as rheumatoid arthritis, atherosclerosis, and Gaucher’s disease, which supports recent studies that have found IL-10, glucocorticoids, and other inflammatory modulators to upregulate CD163 expression. CD163 staining is useful for differentiating synovial intimal fibroblasts from synovial macrophages in rheumatoid arthritis. Overexpression of CD163 is also present in patients with myelomonocytic leukemia dealing with microbial infections. CD163 expression is found in leukemias with monocytic differentiation and synovial-type giant cell tumours of the vertebral column.
Application
|
Application |
Dilution Ratio |
|
IHC |
1:50 - 1:200 |
Overview
|
OMIM |
605545 |
|
3D Structure |
ModBase 3D Structure for Q86VB7 |
|
Isotype |
IgG1 |
|
Host |
Mouse |
|
Species Reactivity |
Human |
|
Purity/Purification |
Purified |
|
Form/Format |
Tris Buffer, pH 7.3 - 7.7, with 1% BSA and <0.1% Sodium Azide |
|
Immunogen |
Recombinant Protein |
Data

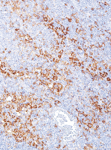
Immunohistochemical staining of human tonsil tissue using CD163 Mouse Monoclonal Antibody (ARM939).
Storage
Store at 4°C short term. For long term storage, store at -20°C, avoiding freeze/thaw cycles.
Research Use Only
For Research Use Only. Not for use in diagnostic procedures.
New Products
