CD1a Mouse Monoclonal Antibody(ARM940)
CAT.NO. : ARM6730
RMB Please choose
RMB Please choose
Size:
Trail, Bulk size or Custom requests Please contact us
*产品价格可能会有所调整,请以品牌方官网实时更新的价格为准,以确保准确性。
Background
CD1a is part of a heterodimer with β-2-microglobulin, and mediates the capture and presentation of antigens, primarily lipid and glycolipid antigens of self or microbial origin, to T-cells. CD1a is expressed on interdigitating and dermal dendritic cells, veiled cells, Langerhans cells, antigen-presenting cells of the lymph nodes, and cortical thymocytes. Anti-CD1a stains Langerhans cell histiocytosis and cortical T LBL/L pre-T lymphoblastic lymphoma and leukemia. In concert with S100 and CD68, CD1a is very useful for differentiating Rosai-Dorfman disease from other histiocytic diseases.
Application
|
Application |
Dilution Ratio |
|
IHC |
1:25 - 1:100 |
Overview
|
Molecular Weight |
37,077 Da |
|
3D Structure |
ModBase 3D Structure for P06126 |
|
Isotype |
IgG1 |
|
Host |
Mouse |
|
Species Reactivity |
Human |
|
Purity/Purification |
Purified |
|
Form/Format |
Tris Buffer, pH 7.3 - 7.7, with 1% BSA and <0.1% Sodium Azide |
|
Immunogen |
Recombinant Protein |
Data

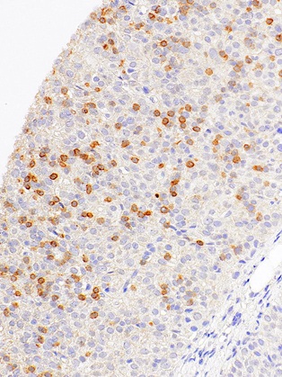
Immunohistochemical staining of human thymus tissue using CD1a Mouse Monoclonal Antibody (ARM940).
Storage
Store at 4°C short term. For long term storage, store at -20°C, avoiding freeze/thaw cycles.
Research Use Only
For Research Use Only. Not for use in diagnostic procedures.
New Products
