CD6 Mouse Monoclonal Antibody(ARA993)
CAT.NO. : ARA6898
RMB Please choose
RMB Please choose
Size:
Trail, Bulk size or Custom requests Please contact us
*产品价格可能会有所调整,请以品牌方官网实时更新的价格为准,以确保准确性。
Background
CD6, also known as T12, is a member of the scavenger receptor superfamily found on T and B cell subsets, thymocytes, and acute lymphocytic leukemia cells (ALL). CD6 interacts with its ligand CD166/ALCAM (activated leukocyte cell adhesion molecule) and serves as a coreceptor for T cell activation and stabilizer of the immunological synapse. CD6-ALCAM mediated cell adhesion is also important for T cell proliferation. CD6 may exert some its functions via association with CD5, probably by fine-tuning CD5 signaling. Ligation of CD6 has antiapoptotic role in chronic lymphocytic leukemia B cells.
Application
|
Application |
Dilution Ratio |
|
IHC-P |
1:200-1:500 |
Overview
|
Antibody Type |
Mouse Monoclonal Antibody |
|
Immunogen |
Purified recombinant fragment of human CD6 (AA: 18-199) expressed in E.Coli. |
|
Species Reactivity |
Human |
|
Validated Applications |
IHC-P, IF-Cell, FC |
|
Molecular Weight |
72 kDa |
|
Positive Control |
Human CD6 recombinant protein, CD6-hIgGFc transfected HEK293 cell lysate, human breast cancer tissue, human rectum cancer tissue, Hela. |
|
Conjugation |
unconjugated |
|
Form |
Liquid |
|
Storage Buffer |
Purified antibody in PBS with 0.05% sodium azide. |
|
Isotype |
IgG2b |
|
Purification Method |
Protein A affinity purified. |
Data

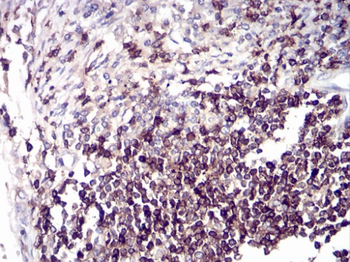
Immunohistochemical analysis of paraffin-embedded human breast cancer tissue using CD6 Mouse Monoclonal Antibody(ARA993).

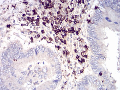
Immunohistochemical analysis of paraffin-embedded human rectum cancer tissue using CD6 Mouse Monoclonal Antibody(ARA993).
Storage
Store at 4°C short term. For long term storage, store at -20°C, avoiding freeze/thaw cycles.
Research Use Only
For Research Use Only. Not for use in diagnostic procedures.
New Products
