CD9 Rabbit Monoclonal Antibody(ARA959)
CAT.NO. : ARA6811
RMB Please choose
RMB Please choose
Size:
Trail, Bulk size or Custom requests Please contact us
*产品价格可能会有所调整,请以品牌方官网实时更新的价格为准,以确保准确性。
Background
CD9 is a gene encoding a protein that is a member of the transmembrane 4 superfamily also known as the tetraspanin family. It is a cell surface glycoprotein that consists of four transmembrane regions and has two extracellular loops that contain disulfide bonds which are conserved throughout the tetraspanin family. Also containing distinct palmitoylation sites that allows CD9 to interact with lipids and other proteins. Tetraspanin proteins are involved in a multitude of biological processes such as adhesion, motility, membrane fusion, signaling and protein trafficking. Tetraspanins play a role in many biological processes because of their ability to interact with many different proteins including interactions between each other. Their distinct palmitoylation sites allow them to organize on the membrane into tetraspanin-enriched microdomains (TEM). These TEMs are thought to play a role in many cellular processes including exosome biogenesis. CD9 is commonly used as a marker for exosomes as it is contained on their surface.
Application
|
Application |
Dilution Ratio |
|
IHC-P |
1:200 - 1:1000 |
Overview
|
Antibody Type |
Recombinant Rabbit monoclonal Antibody |
|
Immunogen |
Synthetic peptide within human CD9 aa 196-228/228. |
|
Species Reactivity |
Human |
|
Validated Applications |
WB, IHC-P |
|
Molecular Weight |
Predicted band size: 25 kDa |
|
Positive Control |
HeLa cell lysate, MCF7 cell lysate, HepG2 cell lysate, SW480 cell lysate, BT-20 cell lysate, human colon carcinoma tissue, human lung carcinoma tissue. |
|
Conjugation |
unconjugated |
|
Form |
Liquid |
|
Storage Buffer |
PBS (pH7.4), 0.1% BSA, 40% Glycerol. Preservative: 0.05% Sodium Azide |
|
Isotype |
IgG |
|
Purification Method |
Protein A affinity purified |
|
RRID |
AB_3072649 |
Data

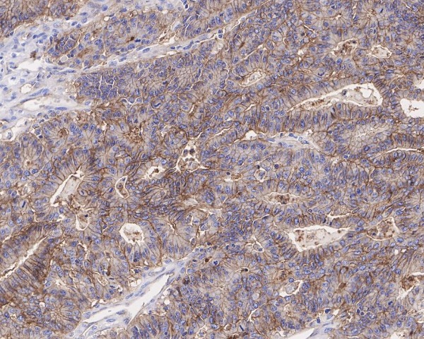
Immunohistochemical staining of human carcinoma tissue was performed using CD9 Rabbit Monoclonal Antibody(ARA959).

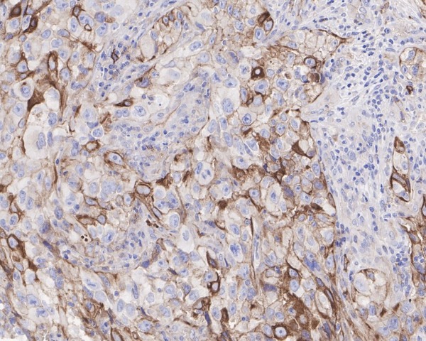
Immunohistochemical staining of human lung carcinoma tissue was performed using CD9 Rabbit Monoclonal Antibody(ARA959).
Storage
Store at +4℃ after thawing. Aliquot store at -20℃. Avoid repeated freeze / thaw cycles.
Research Use Only
For Research Use Only. Not for use in diagnostic procedures.
New Products
