CD90 Rabbit Monoclonal Antibody(ARB588)
CAT.NO. : ARB6880
RMB Please choose
RMB Please choose
Size:
Trail, Bulk size or Custom requests Please contact us
Background
CD90(THY1) is a 25-37-kDa heavily N-glycosylated, glycophosphatidylinositol (GPI) anchored cell surface protein. It has been found to regulate cell adhesion, migration, apoptosis, axon growth, cell-cell and cell-matrix interactions, T-cell activation, and fibrosis. Several reports have shown that CD90 has an important role in cancer in regulating cancer cell proliferation, metastasis, and angiogenesis. CD90 is usually expressed on thymocytes, mesenchymal stem cells, hematopoietic stem cells, natural killer cells, neurons, endothelial cells, renal glomerular mesangial cells, follicular dendritic cells, fibroblasts, and myofibroblasts. CD90 is an important prognostic marker in many cancers, such as gastric cancer and colon cancer, et al. Consequently, therapies that target CD90 have great promise in treating many cancers. However, several studies also indicate a contradictory role for CD90, where it acts as a tumor suppressor, such as ovarian adenocarcinoma, nasopharyngeal carcinoma, and neuroblastoma.
Application
|
Application |
Dilution Ratio |
|
IHC-P |
1:100-1:200 |
Overview
|
Predicted Molecular Wt |
18kDa |
|
Species Cross-reactivity |
Human |
|
Applications |
IHC-P |
|
Purity |
ProA affinity purified IgG |
|
Form |
Liquid |
|
Swissprot ID |
P04216 |
|
Subcellular location |
Cytoplasm and membrane |
|
Recommended Method |
Heat induced epitope retrieval with Tris-EDTA buffer (pH 9.0), primary antibody incubate at RT (18℃-25℃) for 30 minutes. |
|
Immunogen |
Synthetic peptide. |
|
Storage Buffer |
PBS 59%, Sodium azide 0.01%, Glycerol 40%, BSA 0.05% |
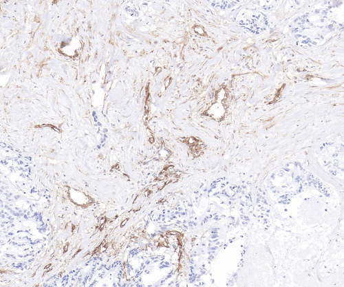
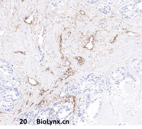
Data

Immunohistochemical staining of human colon cancer tissue using CD90 Rabbit Monoclonal Antibody(ARB588)
Storage
Store at 4°C short term. For long term storage, store at -20°C, avoiding freeze/thaw cycles.
Research Use Only
For Research Use Only. Not for use in diagnostic procedures.
New Products
