Claudin 9 Rabbit Polyclonal Antibody
CAT.NO. : ARA6870
RMB Please choose
RMB Please choose
*产品价格可能会有所调整,请以品牌方官网实时更新的价格为准,以确保准确性。
Background
This gene encodes a member of the claudin family. Claudins are integral membrane proteins and components of tight junction strands. Tight junction strands serve as a physical barrier to prevent solutes and water from passing freely through the paracellular space between epithelial or endothelial cell sheets, and also play critical roles in maintaining cell polarity and signal transductions. This protein is one of the entry cofactors for hepatitis C virus. Mouse studies revealed that this gene is required for the preservation of sensory cells in the hearing organ and the gene deficiency is associated with deafness.
Application
|
Application |
Dilution Ratio |
|
WB |
1:500 - 1:1000 |
|
IHC |
1:50 - 1:500 |
|
IF/ICC |
1:50 - 1:500 |
Overview
|
Immunogen Source |
e.coli-derived, pGEX-4T |
|
Immunogen Tag |
GST |
|
Immunogen Domain |
163-217 aa |
|
Host/Isotype |
Rabbit / IgG |
|
Antibody Type |
Polyclonal |
|
Product Type |
Antibody |
|
Full Name |
claudin 9 |
|
Alias |
CLDN9 |
|
Calculated Molecular Weight |
217 aa, 23 kDa |
|
Observed Molecular Weight |
21 kDa |
|
Gene Name |
Claudin 9 |
|
Gene ID (NCBI) |
9080 |
|
RRID |
AB_3086347 |
|
Conjugation Type |
Unconjugated |
|
Form |
Liquid |
|
Purification Method |
Antigen affinity purification |
|
UNIPROT ID |
O95484 |
|
Storage Buffer |
PBS with 0.02% sodium azide and 50% glycerol, pH 7.3. |
Data

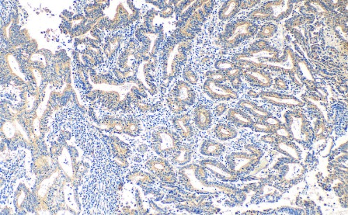
Immunohistochemical staining of human endometrial cancer tissue sections using Claudin 9 Rabbit Polyclonal Antibody.

Immunofluorescent analysis of (4% PFA) fixed T-47D cells using Claudin 9 Rabbit Polyclonal Antibody at dilution
Storage
Store at +4℃ after thawing. Aliquot store at -20℃. Avoid repeated freeze / thaw cycles.
Research Use Only
For Research Use Only. Not for use in diagnostic procedures.
New Products
