Cyclin D1 Rabbit Monoclonal Antibody(ARM972)
CAT.NO. : ARM6762
RMB Please choose
RMB Please choose
Size:
Trail, Bulk size or Custom requests Please contact us
*产品价格可能会有所调整,请以品牌方官网实时更新的价格为准,以确保准确性。
Background
Cyclin D1 is an essential cell cycle regulator and proto-oncogene. Cyclin D1 staining is useful for investigating cell cycle biology and related cancers. Anti-Cyclin D1 is used for differentiating mantle cell lymphomas (positive stain) from CLL/SLL and follicular lymphomas (negative stain). Hairy cell leukemia and plasma cell myeloma also react lightly to Anti-Cyclin D1.
Application
|
Application |
Dilution Ratio |
|
IHC |
1:50 - 1:400 |
Overview
|
Isotype |
IgG |
|
Host |
Rabbit |
|
Species Reactivity |
Human |
|
Purity/Purification |
Purified |
|
Form/Format |
Tris Buffer, pH 7.3 - 7.7, with 1% BSA and <0.1% Sodium Azide |
|
Immunogen |
Recombinant Protein |
Data

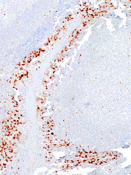
Immunohistochemical staining of human tonsil tissue using Cyclin D1 Rabbit Monoclonal Antibody (ARM972).
Storage
Store at -20°C. Stable for one year from the date of shipment.
Research Use Only
For Research Use Only. Not for use in diagnostic procedures.
New Products
