Cyclin E1 Rabbit Monoclonal Antibody(ARA952)
CAT.NO. : ARA6794
RMB Please choose
RMB Please choose
Size:
Trail, Bulk size or Custom requests Please contact us
*产品价格可能会有所调整,请以品牌方官网实时更新的价格为准,以确保准确性。
Background
The protein encoded by this gene belongs to the highly conserved cyclin family, whose members are characterized by a dramatic periodicity in protein abundance through the cell cycle. Cyclins function as regulators of CDK. Different cyclins exhibit distinct expression and degradation patterns which contribute to the temporal coordination of each mitotic event. This cyclin forms a complex with and functions as a regulatory subunit of CDK2, whose activity is required for cell cycle G1/S transition. This protein accumulates at the G1-S phase boundary and is degraded as cells progress through S phase. Overexpression of this gene has been observed in many tumors, which results in chromosome instability, and thus may contribute to tumorigenesis. This protein was found to associate with, and be involved in, the phosphorylation of NPAT protein (nuclear protein mapped to the ATM locus), which participates in cell-cycle regulated histone gene expression and plays a critical role in promoting cell-cycle progression in the absence of pRB. Two alternatively spliced transcript variants of this gene, which encode distinct isoforms, have been described. Two additional splice variants were reported but detailed nucleotide sequence information is not yet available.
Application
|
Application |
Dilution Ratio |
|
IHC-P |
1:200-1:1000 |
Overview
|
Antibody Type |
Recombinant Rabbit Monoclonal Antibody |
|
Immunogen |
Synthetic peptide within Human Cyclin E1 aa 361 - 410 / 410 |
|
Species Reactivity |
Human, Mouse |
|
Validated Applications |
WB, IF-Cell, IF-Tissue, IHC-P |
|
Molecular Weight |
Predicted band size: 47 kDa |
|
Positive Control |
HeLa cell lysate, Human lung tissue lysate, Human kidney tissue lysate, HeLa, human placenta tissue, human colon carcinoma tissue, mouse testis tissue |
|
Conjugation |
unconjugated |
|
Clone Number |
SD20-24 |
|
Form |
Liquid |
|
Concentration |
1μg/ul |
|
Storage Buffer |
1*TBS (pH7.4), 0.05% BSA, 40% Glycerol. Preservative: 0.05% Sodium Azide |
|
Isotype |
IgG |
|
Purification Method |
Protein A affinity purified |
Data

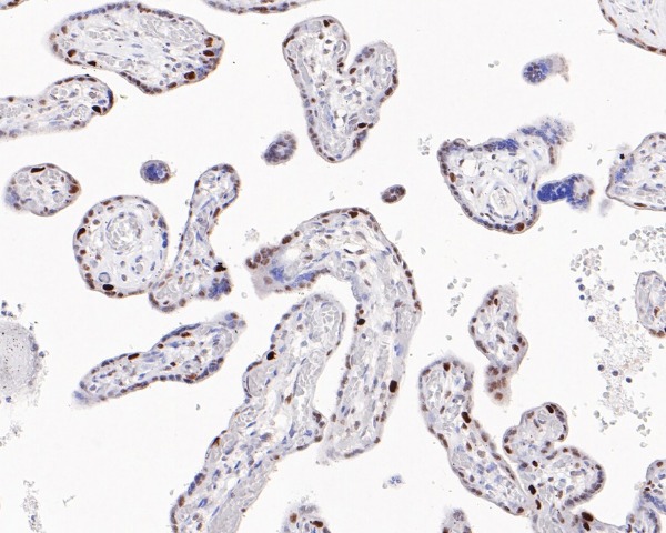
Immunohistochemical staining of human placenta tissue using Cyclin E1 Rabbit Monoclonal Antibody(ARA952)

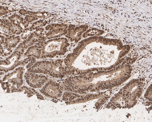
Immunohistochemical staining of human colon carcinoma tissue using Cyclin E1 Rabbit Monoclonal Antibody(ARA952)
Storage
Store at 4°C short term. For long term storage, store at -20°C, avoiding freeze/thaw cycles.
Research Use Only
For Research Use Only. Not for use in diagnostic procedures.
New Products
