DOG1 Rabbit Monoclonal Antibody(ARM983)
CAT.NO. : ARM6773
RMB Please choose
RMB Please choose
Size:
Trail, Bulk size or Custom requests Please contact us
*产品价格可能会有所调整,请以品牌方官网实时更新的价格为准,以确保准确性。
Background
DOG1, also known as Discovered on GIST-1, is a marker that is highly specific for gastrointestinal stromal tumour (GIST). Anti-DOG1 is extremely sensitive for the detection of GIST and its diagnosis. Although some GIST stain weakly for c-kit, DOG1 is expressed in the vast majority of GIST cases. Reports have also indicated DOG1 as a marker for salivary acinar and intercalated duct differentiation.
Application
|
Application |
Dilution Ratio |
|
IHC |
1:50 - 1:200 |
Overview
|
Molecular Weight |
74,369 Da |
|
3D Structure |
ModBase 3D Structure for Q5XXA6 |
|
Isotype |
IgG |
|
Host |
Rabbit |
|
Species Reactivity |
Human |
|
Purity/Purification |
Purified |
|
Form/Format |
Tris Buffer, pH 7.3 - 7.7, with 1% BSA and <0.1% Sodium Azide |
|
Immunogen |
Recombinant Protein |
Data

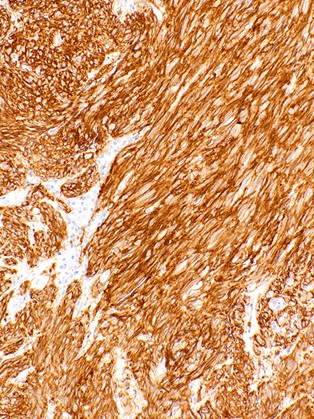
Immunohistochemical staining of human GIST tissue using DOG1 Rabbit Monoclonal Antibody (ARM983) .
Storage
Store at 4°C short term. For long term storage, store at -20°C, avoiding freeze/thaw cycles.
Research Use Only
For Research Use Only. Not for use in diagnostic procedures.
New Products
