E-Cadherin Rabbit Monoclonal Antibody(ARB945)
CAT.NO. : ARB6737
RMB Please choose
RMB Please choose
Size:
Trail, Bulk size or Custom requests Please contact us
*产品价格可能会有所调整,请以品牌方官网实时更新的价格为准,以确保准确性。
Background
E-cadherin is a transmembrane, calcium dependent cell adhesion protein that mediates cell to cell adhesion and maintains structural and functional integrity of epithelial tissues. It also has pivotal barrier functions and maintains the polarity of epithelial cells. Reduced or aberrant E-cadherin expression breaks cell to cell contacts, and thus, cells acquire the ability to migrate.
In normal tissues, immunostaining of E-cadherin is localized to the membrane of epithelial cells, consistent with its role in cell adhesion. And in tumor tissues, E-cadherin stains positively in glandular epithelium as well as adenocarcinomas of the lung, gastrointestinal tract, and ovary. It has also been shown to be positive in some thyroid carcinomas.
A combination of E-cadherin and p120 catenin may help distinguish ductal carcinoma of the breast from lobular carcinoma. And also, several studies have reported that reduced E-cadherin expression is correlated with poor prognosis in several types of carcinomas.
In normal tissues, immunostaining of E-cadherin is localized to the membrane of epithelial cells, consistent with its role in cell adhesion. And in tumor tissues, E-cadherin stains positively in glandular epithelium as well as adenocarcinomas of the lung, gastrointestinal tract, and ovary. It has also been shown to be positive in some thyroid carcinomas.
A combination of E-cadherin and p120 catenin may help distinguish ductal carcinoma of the breast from lobular carcinoma. And also, several studies have reported that reduced E-cadherin expression is correlated with poor prognosis in several types of carcinomas.
Application
|
Application |
Dilution Ratio |
|
IHC |
1:100 - 1:200 |
Overview
|
Predicted Molecular Wt |
97kDa |
|
Species Cross-reactivity |
Human |
|
Applications |
IHC-P |
|
Purity |
ProA affinity purified IgG |
|
Form |
Liquid |
|
Swissprot ID |
P12830 |
|
Subcellular location |
Membrane |
|
Recommended method |
Heat induced epitope retrieval with Tris-EDTA buffer (pH 9.0), primary antibody incubate at RT (18℃-25℃) for 30 minutes |
|
Immunogen |
Synthetic peptide corresponding to E-Cadherin residues within aa600-700 of E-cadherin was used as an immunogen |
|
Storage Buffer |
PBS 59%, Sodium azide 0.01%, Glycerol 40%, BSA 0.05% |
Data

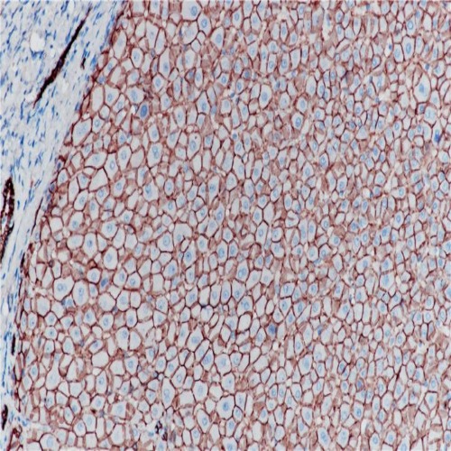
Immunohistochemical staining of human liver tissue using E-Cadherin Rabbit Monoclonal Antibody(ARB945)
Storage
Store at -20°C. Stable for one year from the date of shipment.
Research Use Only
For Research Use Only. Not for use in diagnostic procedures.
New Products
