EZH2 Rabbit Monoclonal Antibody(ARB951)
CAT.NO. : ARB6743
RMB Please choose
RMB Please choose
Size:
Trail, Bulk size or Custom requests Please contact us
Background
EZH2 belongs to polycomb group (PcG). It is the catalytic subunit of the PRC2/EED - EZH2 complex, which methylates 'Lys - 9' (H3K9me) and 'Lys - 27' (H3K27me) of histone H3, leading to transcriptional repression of the affected target gene. EZH2 displays a preference for substrates with less methylation. The PRC2/EED - EZH2 complex may also serve as a recruiting platform for DNA methyltransferases. EZH2 is expressed in many tissues. In the ovary, EZH2 is expressed in primordial follicles and oocytes and also in external follicle cells. EZH2 is overexpressed in numerous tumor types including carcinomas of the breast, colon, larynx, lymphoma and testis. The high expression of EZH2 is closely related to the malignant process, invasiveness and metastasis ability of tumors. EZH2 may be a new marker and therapeutic target for lymphoma.
Overview
|
Target |
EZH2 |
|
Host Species |
rabbit monoclonal antibody |
|
Molecular Weight |
85 kDa |
|
Purity |
ProA affinity purified IgG |
|
Species Cross-reactivity |
Human |
|
Form |
Liquid |
|
Applications |
IHC-P |
|
Swissprot ID |
Q15910 |
|
Immunogen |
Recombinant protein fragment |
|
Storage Buffer |
PBS 59%, Sodium azide 0.01%, Glycerol 40%, BSA 0.05% |
|
Storage Conditions |
-25°C to -18°C |
|
Dilutions |
IHC-P: 1:100-1:200 |
|
Subcellular Location |
Nucleus |
|
Recommended Method |
Heat induced epitope retrieval with Tris-EDTA buffer (pH 9.0), RT for 30 min |
Application
|
Application |
Dilution Ratio |
|
IHC |
1:100-1:200 |
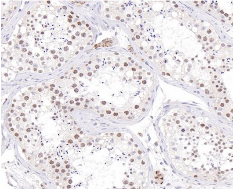
Data

Immunohistochemistry (Formalin/PFA-fixed paraffin-embedded sections) analysis of human testis labelling EZH2 with ARB6743.
Storage
Store at 4°C short term. For long term storage, store at -20°C, avoiding freeze/thaw cycles.
Research Use Only
For Research Use Only. Not for use in diagnostic procedures.
New Products
