Factor VIII Mouse Monoclonal Antibody(ARA969)
CAT.NO. : ARA6832
RMB Please choose
RMB Please choose
Background
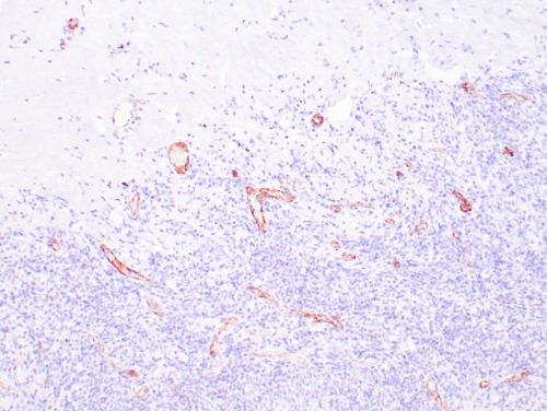
Factor VIII-R (Factor VIII related antigen or von Willebrand factor) is a multimeric glycoprotein that mediates platelet adhesion to injured vessel walls and serves as a carrier and stabilizer for coagulation factor VIII.
Factor VIII-R has functional binding domains to platelet glycoprotein Ib, glycoprotein IIb/IIIa, collagen and heparin. It is one of the most useful markers to identify endothelial (or megakaryocytic) lineage of neoplasms.
Not all endothelial cells synthesize or store this molecule, so about 30% of tumors of vascular origin fail to stain for Factor VIII-R, regardless of whether they are benign or malignant. Staining for Factor VIII-R has also been used to measure angiogenesis, an indicator of tumor recurrence.
Factor VIII-R reacts specifically with the endothelial cells of normal, reactive, and neoplastic blood and lymphatic vessels, showing a finely granular cytoplasmic staining. It also reacts with endocardium, platelets, and megakaryocytes.
Factor VIII-R has functional binding domains to platelet glycoprotein Ib, glycoprotein IIb/IIIa, collagen and heparin. It is one of the most useful markers to identify endothelial (or megakaryocytic) lineage of neoplasms.
Not all endothelial cells synthesize or store this molecule, so about 30% of tumors of vascular origin fail to stain for Factor VIII-R, regardless of whether they are benign or malignant. Staining for Factor VIII-R has also been used to measure angiogenesis, an indicator of tumor recurrence.
Factor VIII-R reacts specifically with the endothelial cells of normal, reactive, and neoplastic blood and lymphatic vessels, showing a finely granular cytoplasmic staining. It also reacts with endocardium, platelets, and megakaryocytes.
Application
|
Application |
Dilution Ratio |
|
IHC-P |
1:100 - 1:200 |
Overview
|
Species Reactivity |
Humans; others not tested |
|
Known Applications |
Immunohistochemistry (formalin-fixed, paraffin-embedded tissues) |
|
Supplied As |
Buffer with protein carrier and preservative |
|
Control |
Tonsil |
|
Visualization |
Cytoplasmic |
|
Isotype |
IgG1/κ |
|
Immunogen |
Recombinant fragment of human vWF protein (aa 1815-1939) |
Data

Immunohistochemical staining of human tonsil tissue sections using Factor VIII Mouse Monoclonal Antibody (ARA969).
Storage
Store at +4℃ after thawing. Aliquot store at -20℃. Avoid repeated freeze / thaw cycles.
Research Use Only
For Research Use Only. Not for use in diagnostic procedures.
New Products
