FGFR2b Mouse Monoclonal Antibody(ARM616)
CAT.NO. : ARM6907
US$ Please choose
US$ Please choose
Size:
Trail, Bulk size or Custom requests Please contact us
*产品价格可能会有所调整,请以品牌方官网实时更新的价格为准,以确保准确性。
Background
FGFR2b is a receptor protein that is an emerging biomarker, particularly in advanced gastric and gastroesophageal junction (G/GEJ) cancers. It is overexpressed in about one-third of patients with these cancers and is targeted by certain therapies.
Application
|
Application |
Dilution Ratio |
|
IHC |
1:50 - 1:200 |
Overview
|
Clonality |
Monoclonal |
|
Host |
Mouse |
|
Species Reactivity |
Human |
|
Form/Format |
Tris Buffer, pH7.3-7.7, with 1% BSA and <0.1% Sodium Azide |
|
Buffer Description |
Tris buffer, Bovine Serum Albumin (1% for concentrated type, 0.3% for pre-diluted ready-to-use type) |
|
Form |
Liquid |
|
Purity |
Protein A purified |
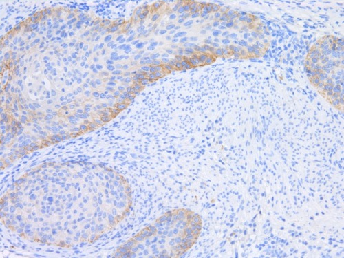
Data

Immunohistochemical staining of human cervical carcinoma tissue sections using FGFR2b Mouse Monoclonal Antibody (ARM616).
Storage
Store at 4°C short term. For long term storage, store at -20°C, avoiding freeze/thaw cycles.
Research Use Only
For Research Use Only. Not for use in diagnostic procedures.
New Products
