FGL2 Rabbit Polyclonal Antibody
CAT.NO. : ARA6828
RMB Please choose
RMB Please choose
Background
Fibrinogen-like protein 2 (Fgl2), also known as fibroleukin, is secreted by T cells and is involved in diseases in which thrombosis plays a pivotal role, such as virus-induced fulminant hepatitis, fetal loss syndrome and xenograft rejection. Constitutively expressed in cytotoxic T cells, Fgl2 exerts immunosuppressive effects on both T cell proliferation and dendritic cell maturation. Fgl2 is a serine protease and directly cleaves prothrombin to thrombin. Fgl2 functions in the pathogenesis of diseases including viral-induced hepatitis and Th1 cytokine-induced fetal loss syndrome.
Application
|
Application |
Dilution Ratio |
|
WB |
1:500 - 1:1000 |
|
IHC |
1:50 - 1:100 |
Overview
|
Immunogen |
KLH-conjugated synthetic peptide encompassing a sequence within the N-term region of human FGL2. The exact sequence is proprietary |
|
Purification Method |
The antibody was purified by immunogen affinity chromatography |
|
Clonality |
Polyclonal |
|
Form |
Liquid in 0.42% Potassium phosphate, 0.87% Sodium chloride, pH 7.3, 30% glycerol, and 0.01% sodium azide |
|
Gene Name |
FGL2 |
|
Synonyms |
Fibroleukin; Fibrinogen-like protein 2; pT49 |
|
Gene ID (Human) |
10675 |
|
Protein ID (Human) |
Q14314 |
Data

Western blot analysis of FGL2 expression in A375 (A), DLD (B), mouse spleen (C), rat brain (D), rat spleen (E) whole cell lysates. (Predicted band size: 50 kD; Observed band size: 55 kD)

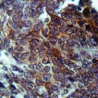
Immunohistochemical analysis of FGL2 staining in human liver cancer formalin fixed paraffin embedded tissue section. The section was pre-treated using heat mediated antigen retrieval with sodium citrate buffer (pH 6.0). The section was then incubated with the antibody at room temperature and detected using an HRP conjugated compact polymer system. DAB was used as the chromogen. The section was then counterstained with haematoxylin and mounted with DPX.
Storage
Store at +4℃ after thawing. Aliquot store at -20℃. Avoid repeated freeze / thaw cycles.
Research Use Only
For Research Use Only. Not for use in diagnostic procedures.
New Products
