FOLR1 Mouse Monoclonal Antibody(ARM900)
CAT.NO. : ARM6690
RMB Please choose
RMB Please choose
Size:
Trail, Bulk size or Custom requests Please contact us
Background
The protein encoded by this gene is a member of the folate receptor family. Members of this gene family bind folic acid and its reduced derivatives, and transport 5-methyltetrahydrofolate into cells. This gene product is a secreted protein that either anchors to membranes via a glycosyl-phosphatidylinositol linkage or exists in a soluble form. Mutations in this gene have been associated with neurodegeneration due to cerebral folate transport deficiency. Due to the presence of two promoters, multiple transcription start sites, and alternative splicing, multiple transcript variants encoding the same protein have been found for this gene.
Application
|
Application |
Dilution Ratio |
|
IHC |
1:50 - 1:200 |
Overview
|
Host Species |
Mouse |
|
Species Cross-reactivity |
Human |
|
Applications |
IHC-P |
|
Clonality |
Monoclonal |
|
Purity/Purification |
Purified |
|
Form/Format |
Tris Buffer, pH 7.5, with 1% BSA and <0.1% Sodium Azide |
Data


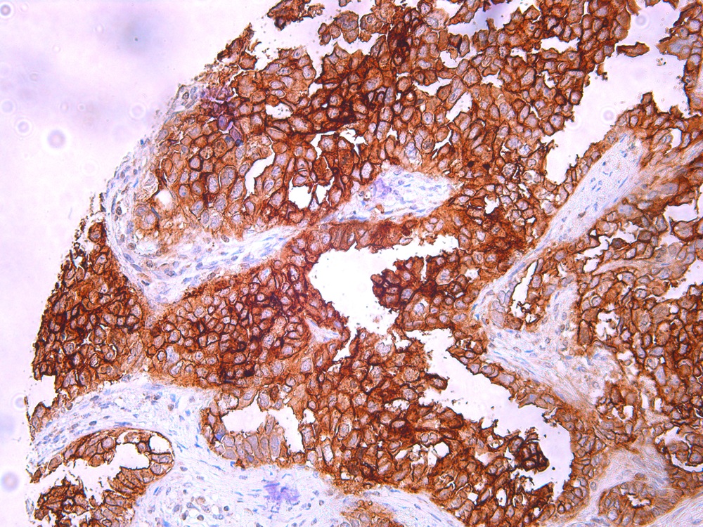
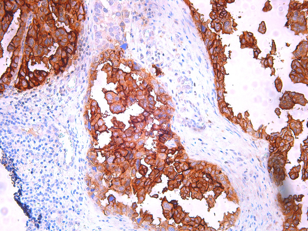
Immunohistochemical staining of human ovary tissue sections using FOLR1 Mouse Monoclonal Antibody (ARM900).
Storage
Store at -20°C. Stable for one year from the date of shipment.
Research Use Only
For Research Use Only. Not for use in diagnostic procedures.
New Products
