FOXP3 Mouse Monoclonal Antibody(ARM992)
CAT.NO. : ARM6782
RMB Please choose
RMB Please choose
Size:
Trail, Bulk size or Custom requests Please contact us
*产品价格可能会有所调整,请以品牌方官网实时更新的价格为准,以确保准确性。
Background
FOXP3 is a forkhead transcription factor family member which plays a key role in CD4+CD25+ regulatory T cell function and represents a specific marker for these cells. Specifically in IHC, FOXP3 is a marker for adult T-cell leukemia/lymphoma (ATLL). In normal lymphoid tissues, a T-cell subset in interfollicular areas shows nuclear staining. There are many characteristics of FOXP3’s role in cancer, which involves tumour progression through the suppression of T-cell activity and oncogene suppression through suppressing the expression of HER2, Skp2, SATB1 and MYC oncogenes.
Application
|
Application |
Dilution Ratio |
|
IHC |
1:50 - 1:200 |
Overview
|
3D Structure |
ModBase 3D Structure for Q9BZS1 |
|
Isotype |
IgG1 |
|
Host |
Mouse |
|
Species Reactivity |
Human |
|
Purity/Purification |
Purified |
|
Form/Format |
Tris Buffer, pH 7.3 - 7.7, with 1% BSA and <0.1% Sodium Azide |
|
Immunogen |
Recombinant Protein |
Data

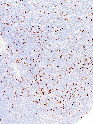
Immunohistochemical staining of human tonsil tissue using FOXP3 Mouse Monoclonal Antibody (ARM992).
Storage
Store at 4°C short term. For long term storage, store at -20°C, avoiding freeze/thaw cycles.
Research Use Only
For Research Use Only. Not for use in diagnostic procedures.
New Products
