Frizzled 1/2/7 Rabbit Polyclonal Antibody
CAT.NO. : ARA6730
RMB Please choose
RMB Please choose
*产品价格可能会有所调整,请以品牌方官网实时更新的价格为准,以确保准确性。
Background
FZD1, FZD2, and FZD7: Studies have shown that these three Frizzled receptors, in particular, play redundant roles in various developmental processes, including palate closure, convergent extension of the neural tube, and heart development. They also seem to be important for the maintenance of intestinal stem cells.
Application
|
Application |
Dilution Ratio |
|
WB |
1:500 - 1:1000 |
|
IF/ICC |
1:50 - 1:200 |
Overview
|
Immunogen |
KLH-conjugated synthetic peptide encompassing a sequence within the N-term region of human Frizzled 1/2/7. The exact sequence is proprietary |
|
Purification Method |
The antibody was purified by immunogen affinity chromatography |
|
Clonality |
Polyclonal |
|
Product Form |
Liquid in 0.42% Potassium phosphate, 0.87% Sodium chloride, pH 7.3, 30% glycerol, and 0.01% sodium azide |
|
Gene Name |
FZD1; FZD2; FZD7 |
|
Synonyms |
Frizzled-7; Fz-7; hFz7; FzE3 |
|
Gene ID (Human) |
8324; |
|
Gene ID (Mouse) |
14369; |
|
Protein ID (Human) |
Q9UP38; Q14332; O75084; |
|
Protein ID (Mouse) |
Q61090; |
Data

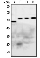
Western blot analysis of Frizzled 1/2/7 expression in Hela (A), mouse heart (B), rat heart (C), rat kidney (D) whole cell lysates. (Predicted band size: 71; 63 kD; Observed band size: 64; 71 kD)

Immunofluorescent analysis of Frizzled 1/2/7 staining in MCF7 cells. Formalin-fixed cells were permeabilized with 0.1% Triton X-100 in TBS for 5-10 minutes and blocked with 3% BSA-PBS for 30 minutes at room temperature. Cells were probed with the primary antibody in 3% BSA-PBS and incubated overnight at 4 °C in a hidified chamber. Cells were washed with PBST and incubated with a AF594-conjugated secondary antibody (red) in PBS at room temperature in the dark.
Storage
Store at 4°C short term. For long term storage, store at -20°C, avoiding freeze/thaw cycles.
Research Use Only
For Research Use Only. Not for use in diagnostic procedures.
New Products
