Gastrin Rabbit Monoclonal Antibody(ARB956)
CAT.NO. : ARB6748
RMB Please choose
RMB Please choose
Size:
Trail, Bulk size or Custom requests Please contact us
Background
Gastrin stimulates the stomach mucosa to produce and secrete hydrochloric acid and the pancreas to secrete its digestive enzymes. It also stimulates smooth muscle contraction and increases blood circulation and water secretion in the stomach and intestine.
Gastrin is selectively expressed in a subset of cells in stomach.
Gastrin is used for gastrinoma diagnostic.
Gastrin is selectively expressed in a subset of cells in stomach.
Gastrin is used for gastrinoma diagnostic.
Application
|
Application |
Dilution Ratio |
|
IHC |
1:100 - 1:200 |
Overview
|
Predicted Molecular Wt |
11kDa |
|
Species Cross-reactivity |
Human |
|
Applications |
IHC-P |
|
Purity |
ProA affinity purified IgG |
|
Form |
Liquid |
|
Swissprot ID |
P01350 |
|
Subcellular location |
Secret |
|
Recommended Method |
Heat induced epitope retrieval with Tris-EDTA buffer (pH 9.0), primary antibody incubate at RT (18℃-25℃) for 30 minutes |
|
Storage Buffer |
PBS 59%, Sodium azide 0.01%, Glycerol 40%, BSA 0.05% |
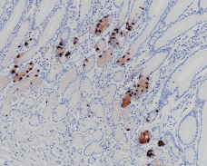
Data

Immunohistochemistry (Formalin/PFA-fixed paraffin-embedded sections) analysis of humann gastric cancer labelling Gastrin with ARB6748.
Storage
Store at -20°C. Stable for one year from the date of shipment.
Research Use Only
For Research Use Only. Not for use in diagnostic procedures.
New Products
