GST-π Monoclonal Antibody(ARB597)
CAT.NO. : ARB6891
RMB Please choose
RMB Please choose
Size:
Trail, Bulk size or Custom requests Please contact us
*产品价格可能会有所调整,请以品牌方官网实时更新的价格为准,以确保准确性。
Background
Glutathione S-transferases (GSTs) are a family of enzymes that play an important role in detoxification by catalyzingtheconjugation of many hydrophobic and electrophilic compounds with reduced glutathione. Based on their biochemical, immunologic and structural properties, the soluble GSTs are categorized into 4 main classes: alpha, mu, pi and theta. ThisGSTfamily member is a polymorphic gene encoding active, functionally different GSTP1 variant proteins that are thought tofunction in xenobiotic metabolism and play a role in susceptibility to cancer and other diseases. Glutathione-S-transferase (GST-π) is widely present in the cytosol and mitochondria of organs throughout the humanbody,mainly catalysing the combination of GSH with a wide range of electrophilic substances to form GS-X, which is thenexcretedout of the cell to achieve detoxification. GST-π is highly expressed in a wide range of tumours and has been associatedwithtumour therapeutic resistance (adriamycin, cisplatin, azathioprine, cyclophosphamide and tumocortin, among others) andismore clinically important for determining whether tumour cells have developed resistance, as is the case with P-gpandTopoII, it is more clinically significant to determine whether the tumour cells are drug-resistant or not.
Application
|
Application |
Dilution Ratio |
|
IHC-P |
1:100-1:200 |
Overview
|
Predicted Molecular Wt |
23kDa |
|
Species Cross-reactivity |
Human |
|
Applications |
IHC-P |
|
Purity |
ProA affinity purified IgG |
|
Form |
Liquid |
|
SwissProt ID |
P09211 |
|
Subcellular location |
Nucleus, Cytoplasm |
|
Recommended Method |
Heat induced epitope retrieval with Tris-EDTA buffer (pH 9.0), primary antibody incubate at RT (18℃-25℃) for 30 minutes. |
|
Immunogen |
Synthetic peptide. |
|
Storage Buffer |
PBS 59%, Sodium azide 0.01%, Glycerol 40%, BSA 0.05% |
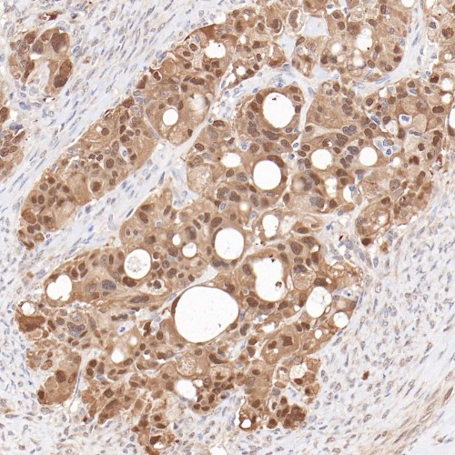
Data

Immunohistochemical staining of Ovarian cancer using GST-π Monoclonal Antibody(ARB597)
Storage
Store at 4°C short term. For long term storage, store at -20°C, avoiding freeze/thaw cycles.
Research Use Only
For Research Use Only. Not for use in diagnostic procedures.
New Products
